Small Bowel CT Appearances
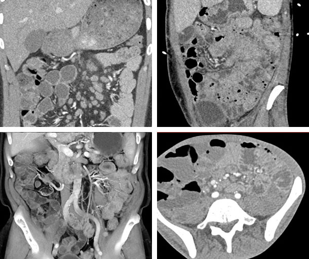
Mycobacterium Avium-Intracellulare (MAI) CT Findings
- Thickened small bowel folds
- Irregular diffusion
- Mesenteric adenopathy
- Low-attenuating nodes that are necrotic
- Enlargement of the lymph nodes

Other Information About Mycobacterium Avium-Intracellulare (MAI)
Etiology:
- MAI is a bacterial infection
Epidemiology:
- MAI is more common after age 65
- Patients with HIV or AIDS are more susceptible to MAI
Presentation:
- Chronic cough
- Hemoptysis
- Weight loss
- Dyspnea
- Chest pain
- Fever
- Fatigue
- Night sweats
Prognosis:
- The five year all-cause mortality rate for MAI is about 25%
- MAI can be treated but must be monitored for recurrence and lung damage
Related Lectures:
CT Evaluation of Small Bowel Obstruction - Part 5
