Small Bowel CT Appearances
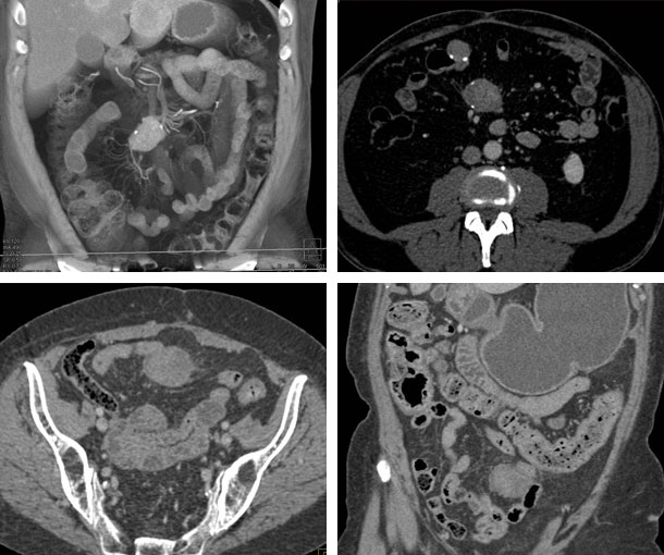
Mesenteric Desmoid Tumor CT Findings
- Soft tissue mass
- Ill defined margins
- Can be large, >15 cm
- Radiating fibrous strands that extend into surrounding mesenteric fat (“whorl appearance”)
- Isodense to muscle
- Can enhance heterogeneously or homogeneously

Other Information About Mesenteric Desmoid Tumor
Etiology:
- Most occur sporadically
- Associated with Familiar Adenomatous Polyposis and Gardner’s Syndrome
Epidemiology:
- Very rare
- More common in females
- Typically present in the 3rd-5th decades of life
Presentation:
- Asymptomatic
- Abdominal pain
Prognosis:
- Desmoid tumors are benign
Related Pearls: Benign Tumors
Related Lectures:
Desmoid Tumor of the Mesentery: A Potential Mimic of Other GI Pathology
