
- 3
- 0
- ,
- 1
- 9
- 1
To Quiz Yourself: Select OFF by clicking the button to hide the diagnosis & additional resources under the case.
Quick Browser: Select ON by clicking the button to hide the additional resources for faster case review.
CASE NUMBER
5,009
Diagnosis
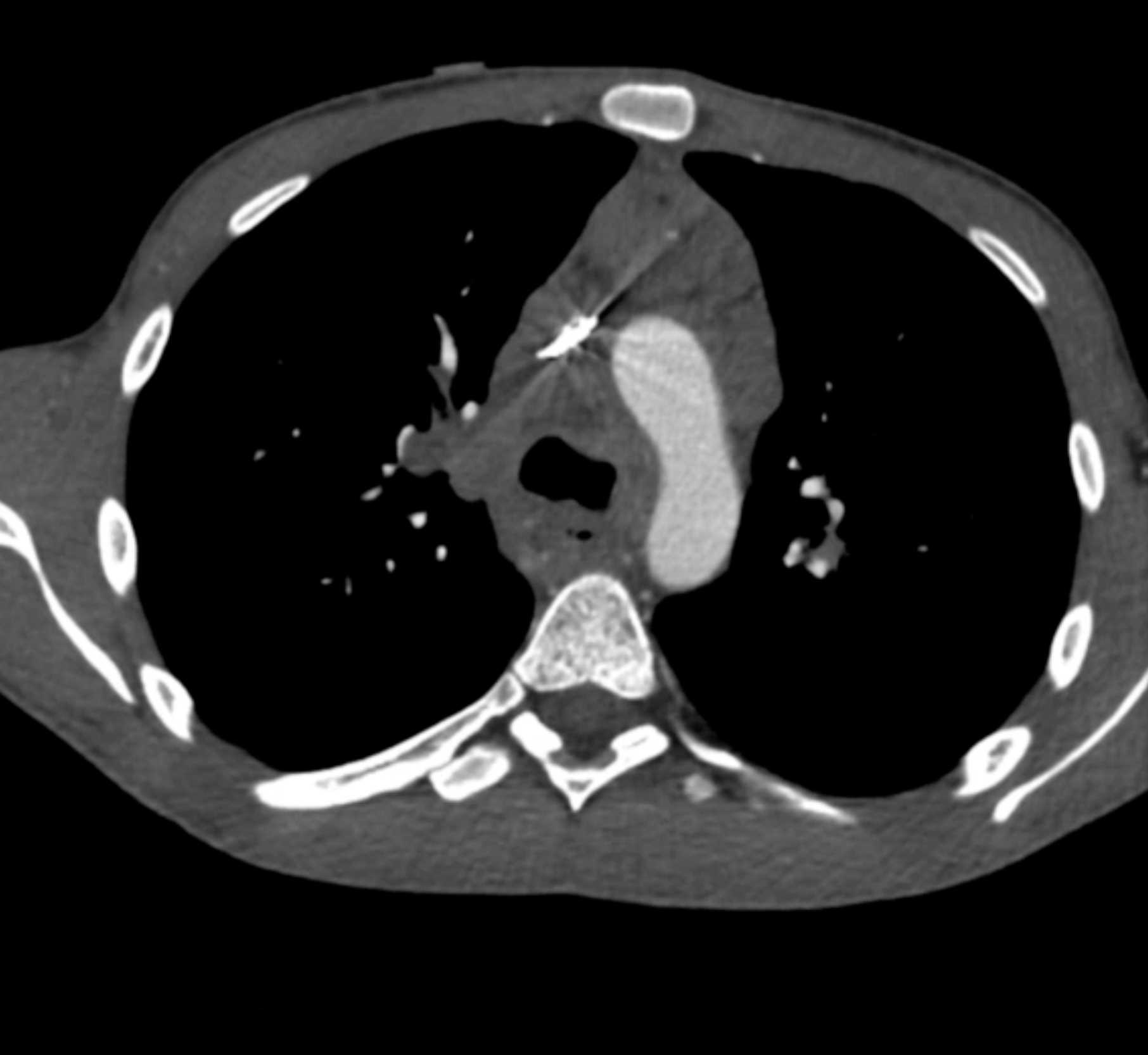
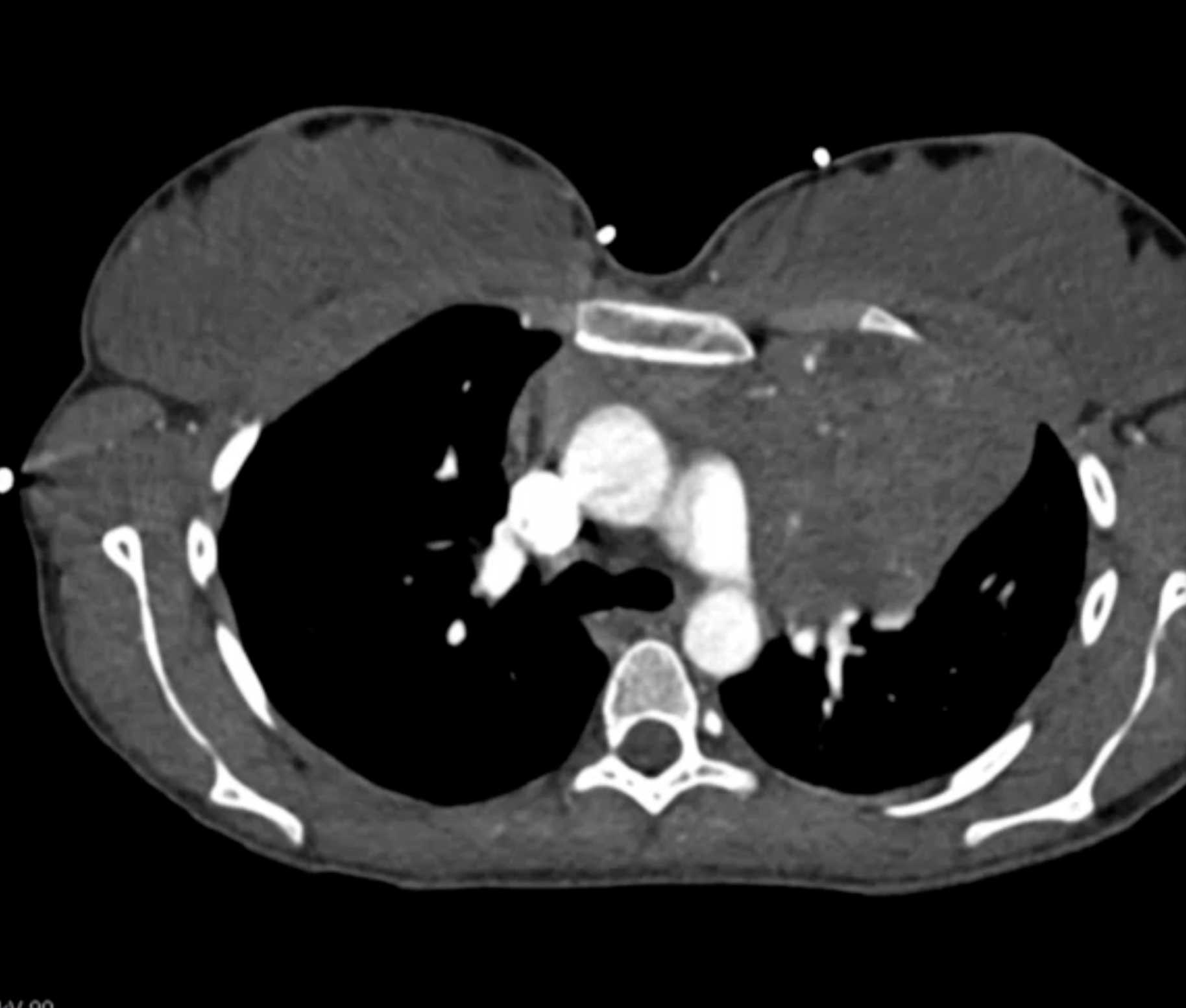
Primary Spindle Cell Carcinoma of the Right Ventricle
THIS IS CASE
5,009
OF
5,009
