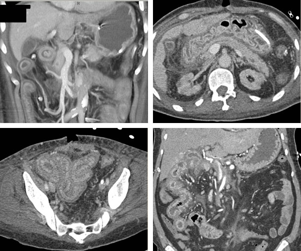
Small Bowel CT Appearances
Chemotherapy-Induced Enteritis CT Findings
- Occurs in 50-80% of patients depending on the chemotherapy regimen
- Imaging appearance and patients symptoms may vary on a case to case basis
- Small bowel most commonly involved especially ileum
- CT findings include "halo" and associated mesenteric involvement

Other Information About Chemotherapy-Induced Enteritis
Etiology:
- Caused by chemotherapy
Epidemiology:
- Anyone who has undergone or is undergoing chemotherapy is susceptible to chemotherapy enteritis
Presentation:
- Abdominal pain
- Abdominal cramping
- Nausea and/or vomiting
- Diarrhea
- Fever
- Body aches
- Anorexia
Prognosis:
- Enteritis typically goes away on its own and symptoms can be treated
Related Pearls: Inflammatory Disease
