Diagnostic Case Quiz ❯ Quiz of the Month ❯ December 2025
Archives:
Instructions
- Login / Register to CTisus.com to save your answers and track your score and progress.
- Review your answers below.
- Click on thumbnail images to view a larger version of the image
- Select the best answer
- Submit your answers by selecting the "Submit" button at the end of the quiz.
Quiz Discussion
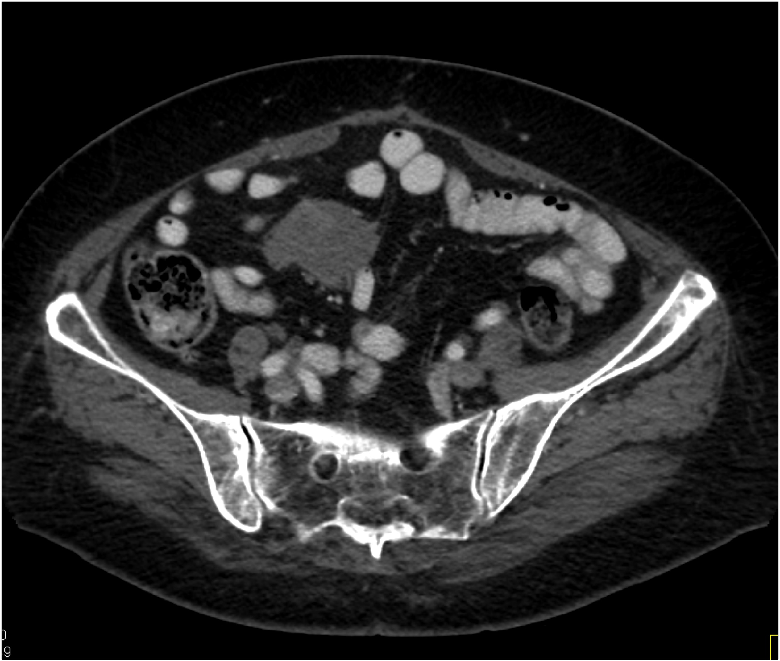
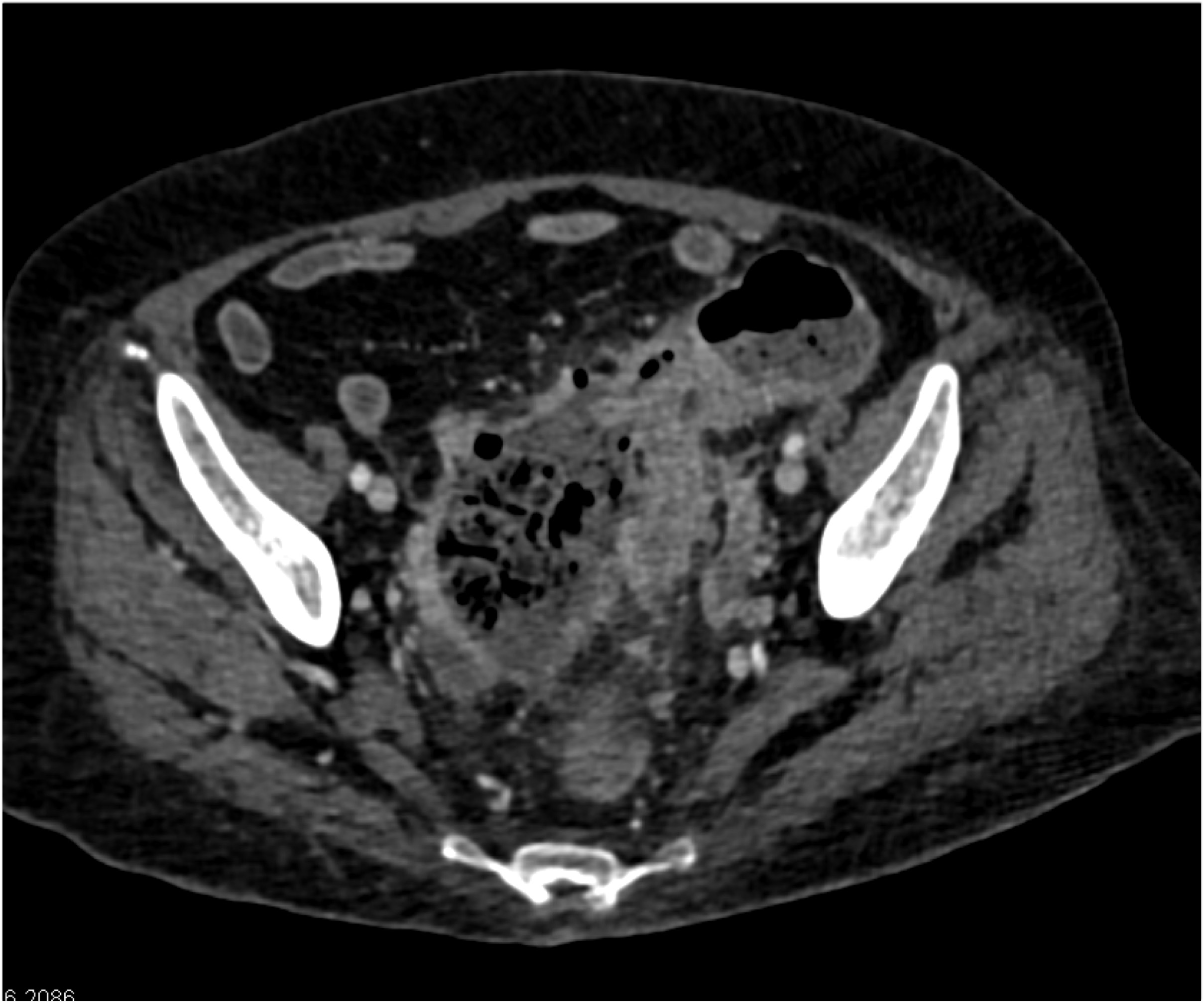
1) The most likely diagnosis for this mass is?
bladder leiomyoma
bladder sarcoma
duplication cyst
implant of ovarian tissue
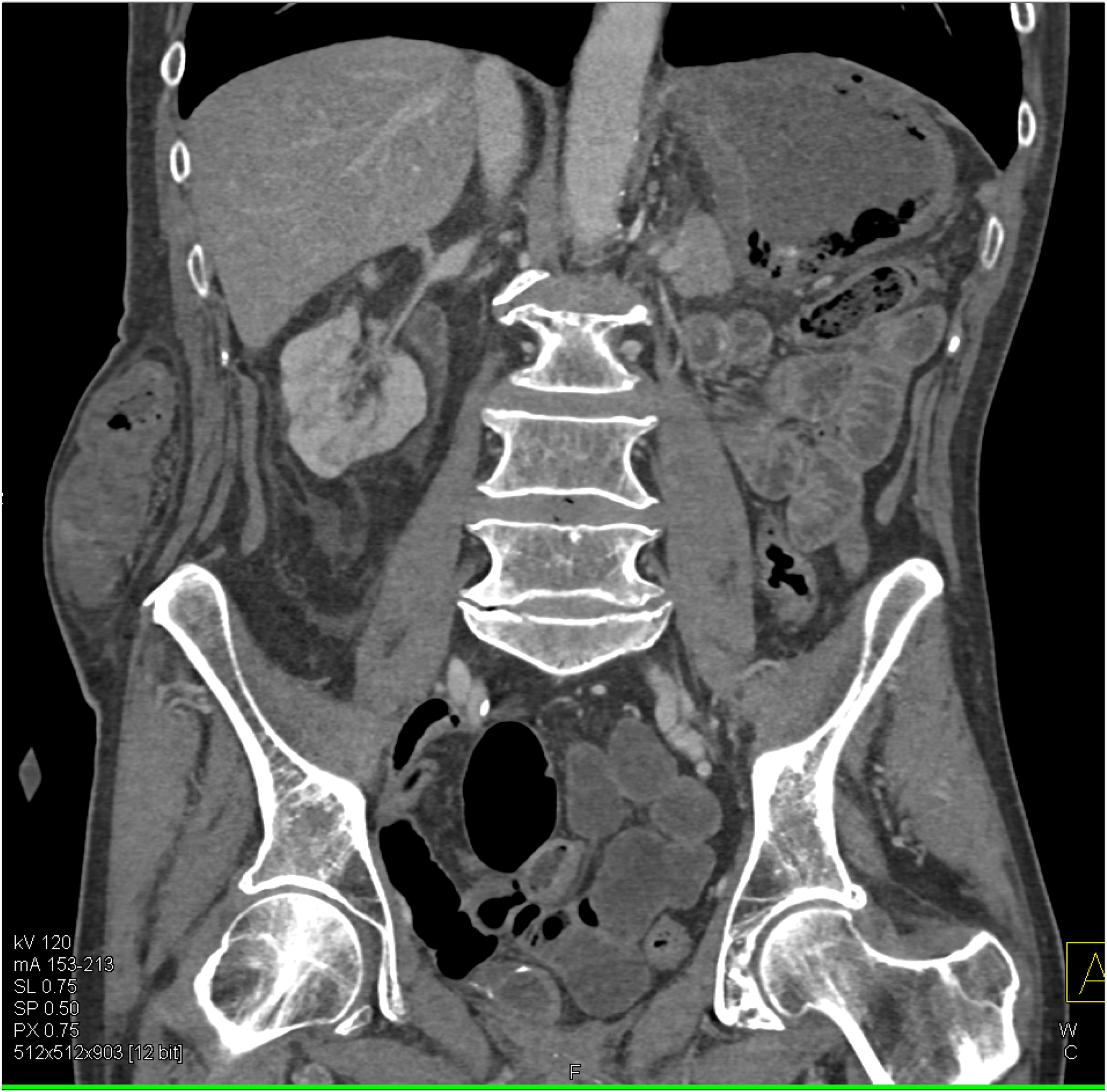
2) The best diagnosis in this case of an incidental finding is?
flow related change
thrombus off aortic valve
papillary fibroelastoma
foreign body
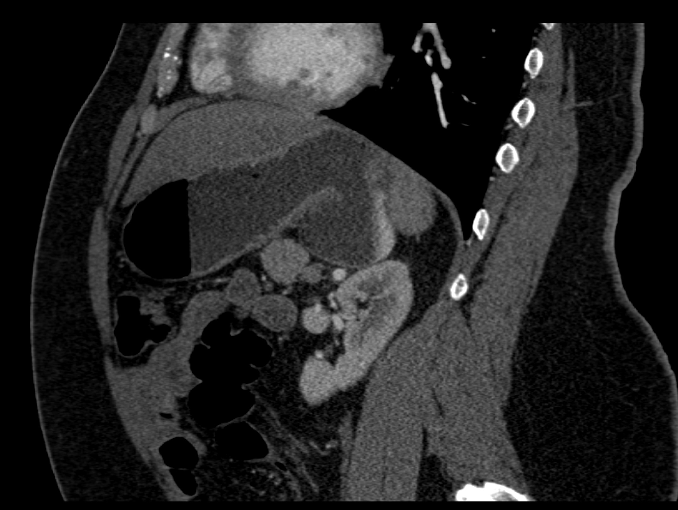
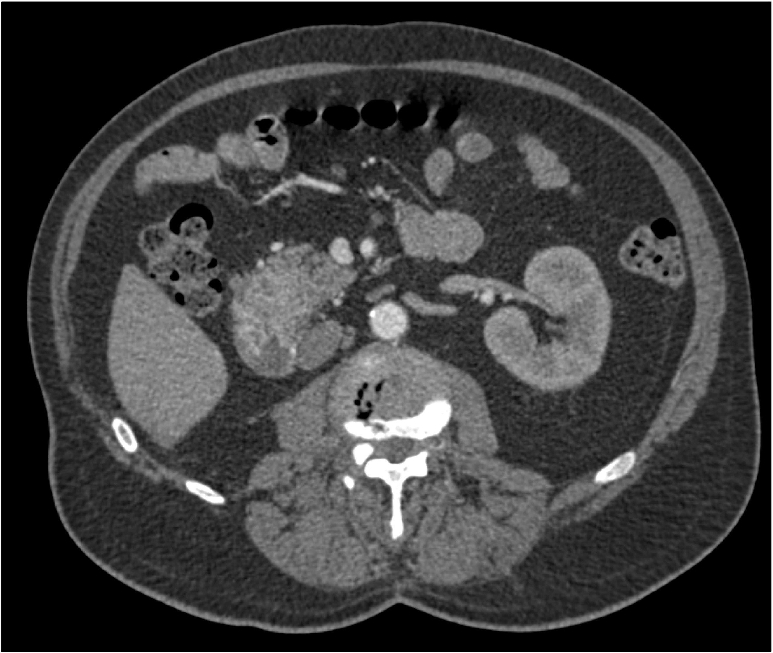
3) The most likely diagnosis in this case is?
adenocarcinoma
GIST tumor
carcinoid tumor
renal cell carcinoma metastatic to duodenum
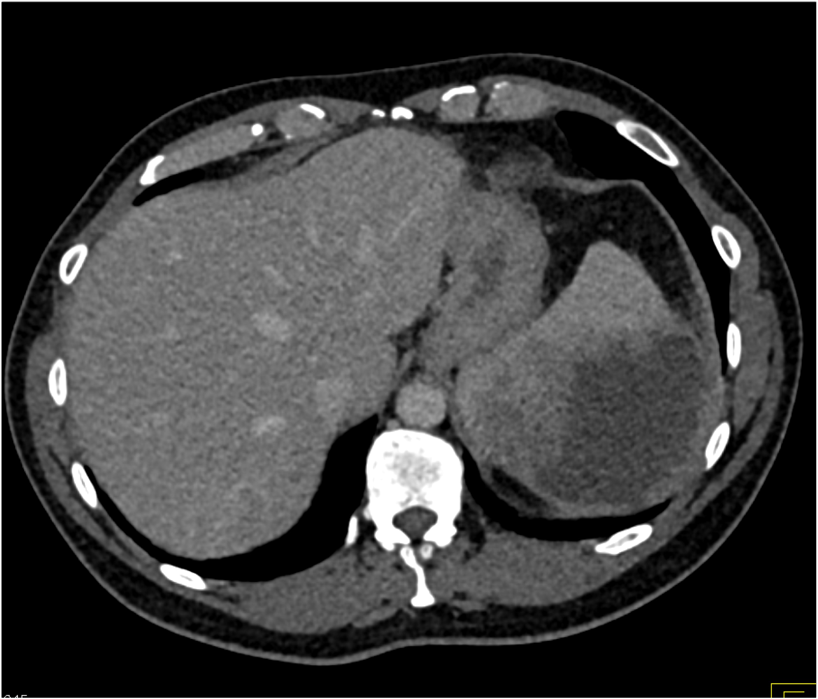
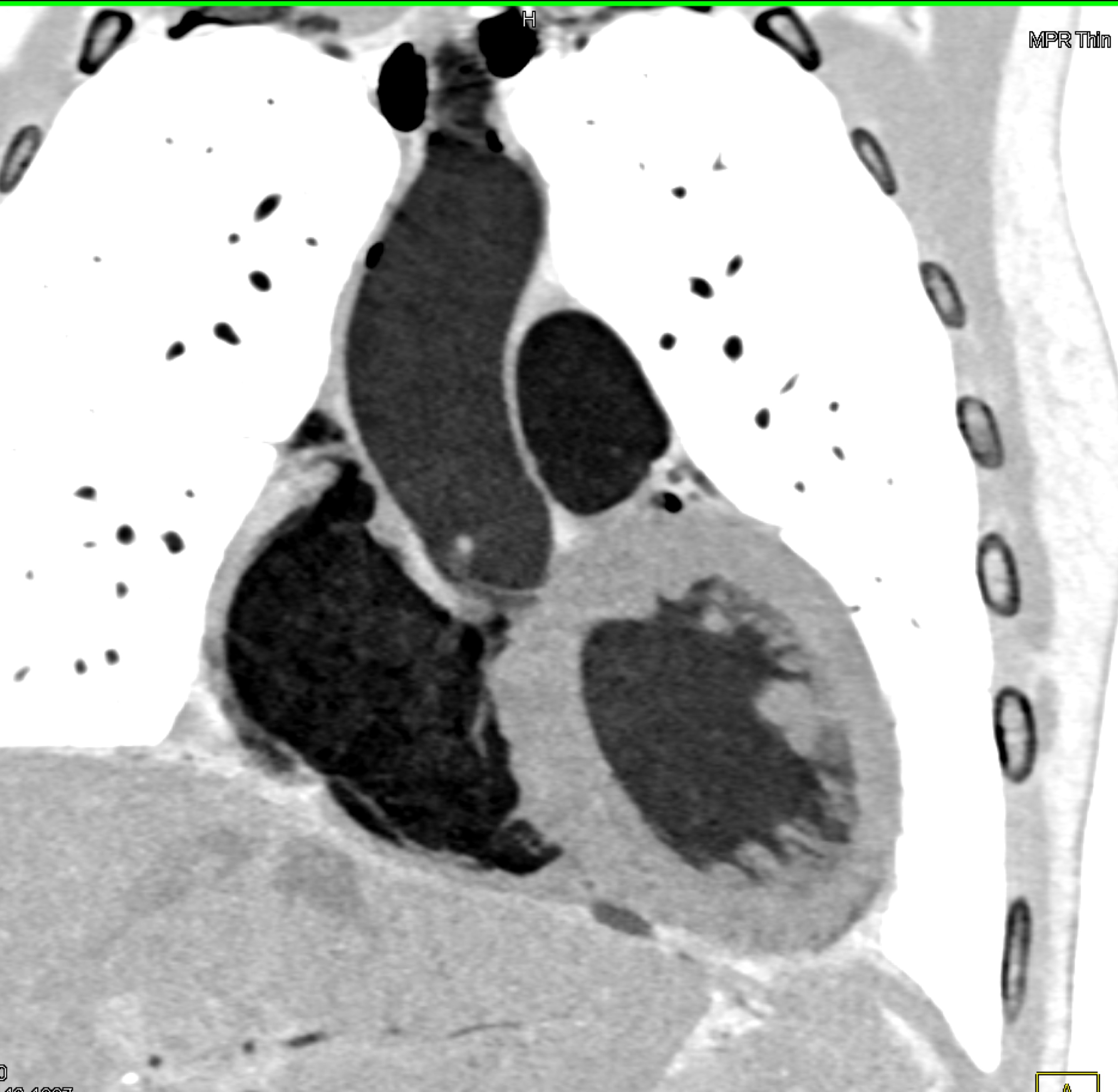
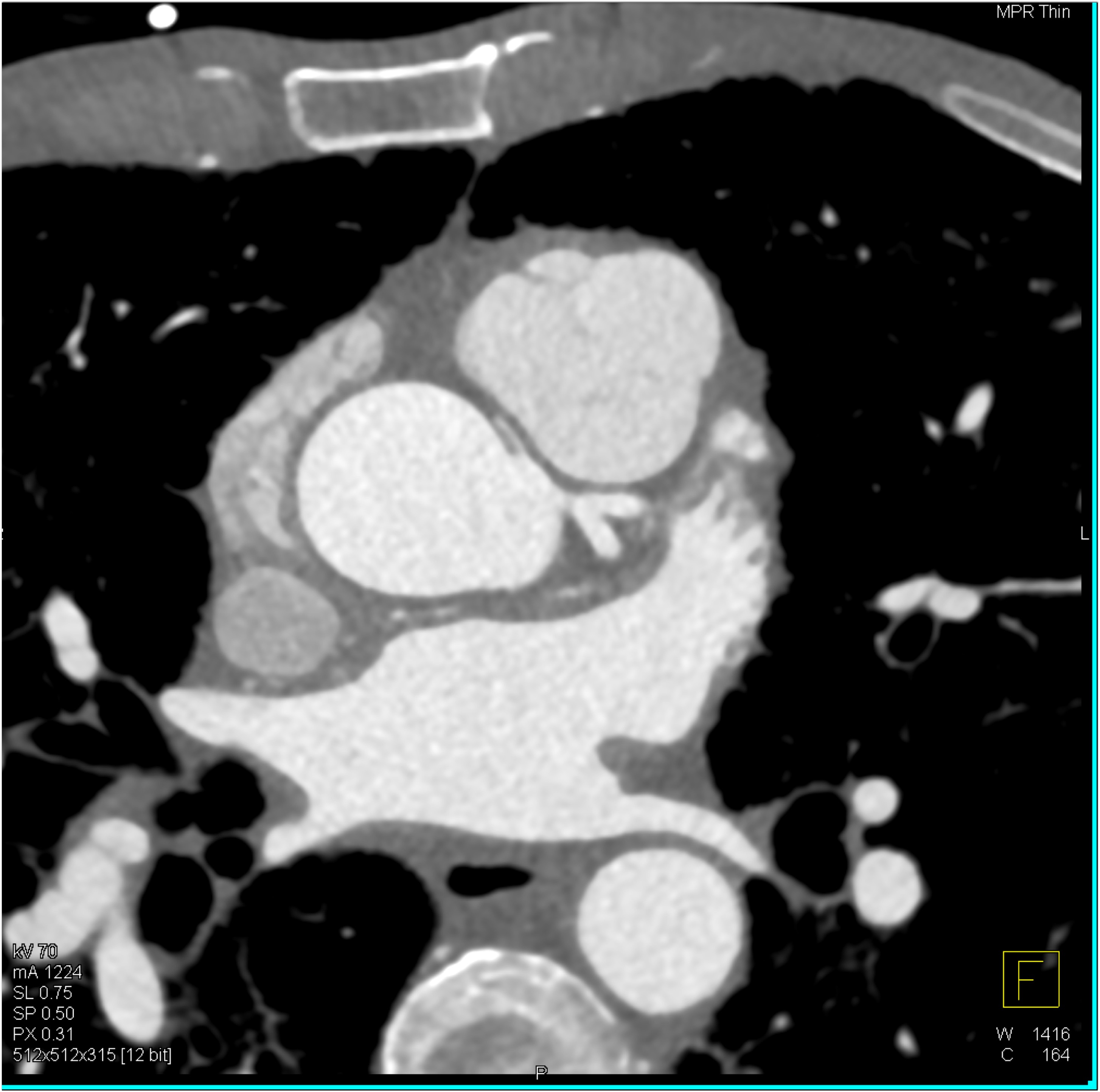
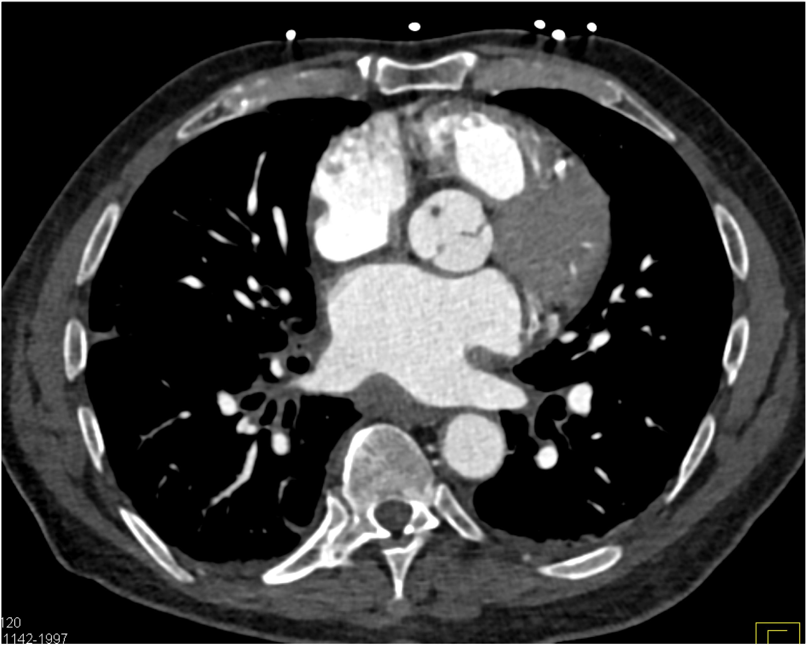
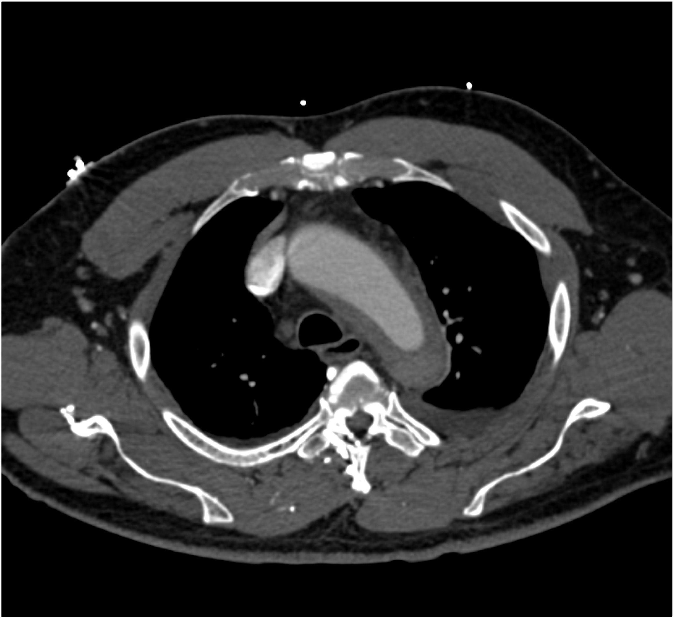
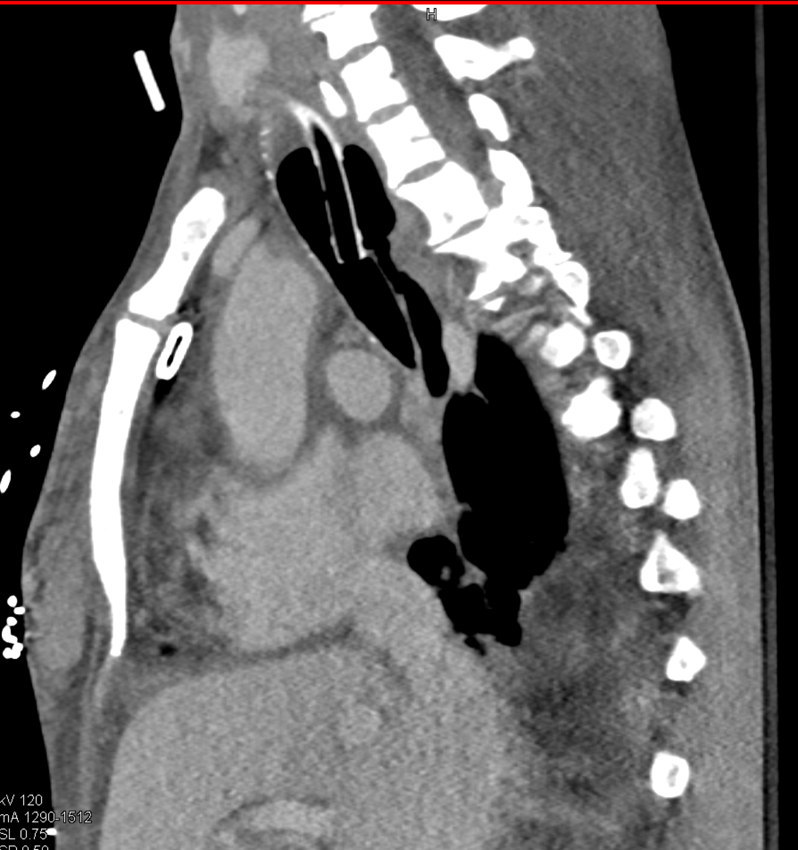
4) The most likely diagnosis in this patient with acute chest pain is?
type A dissection
intramural hematoma
type B dissection
Takayasu’s aortitis
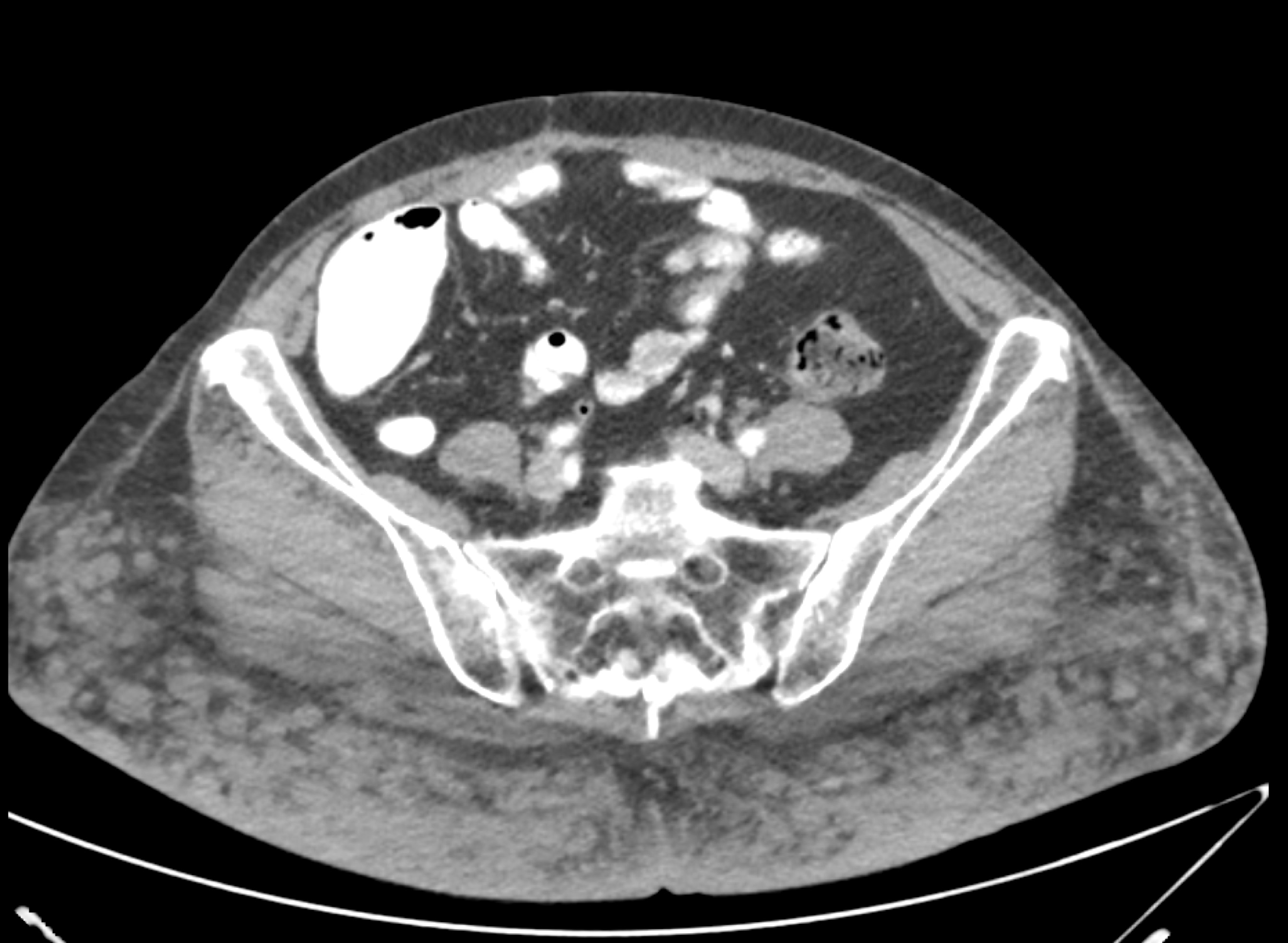
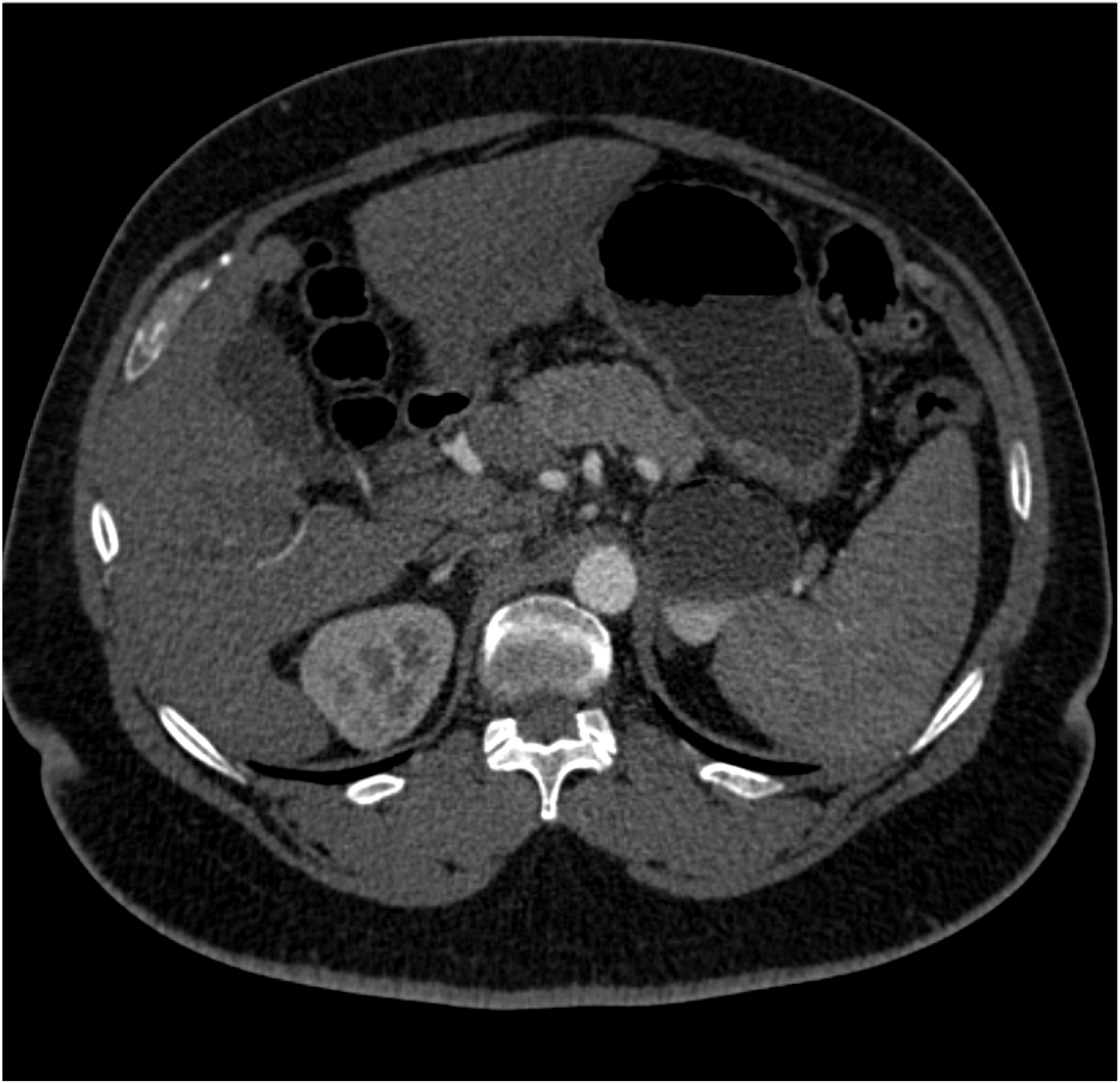
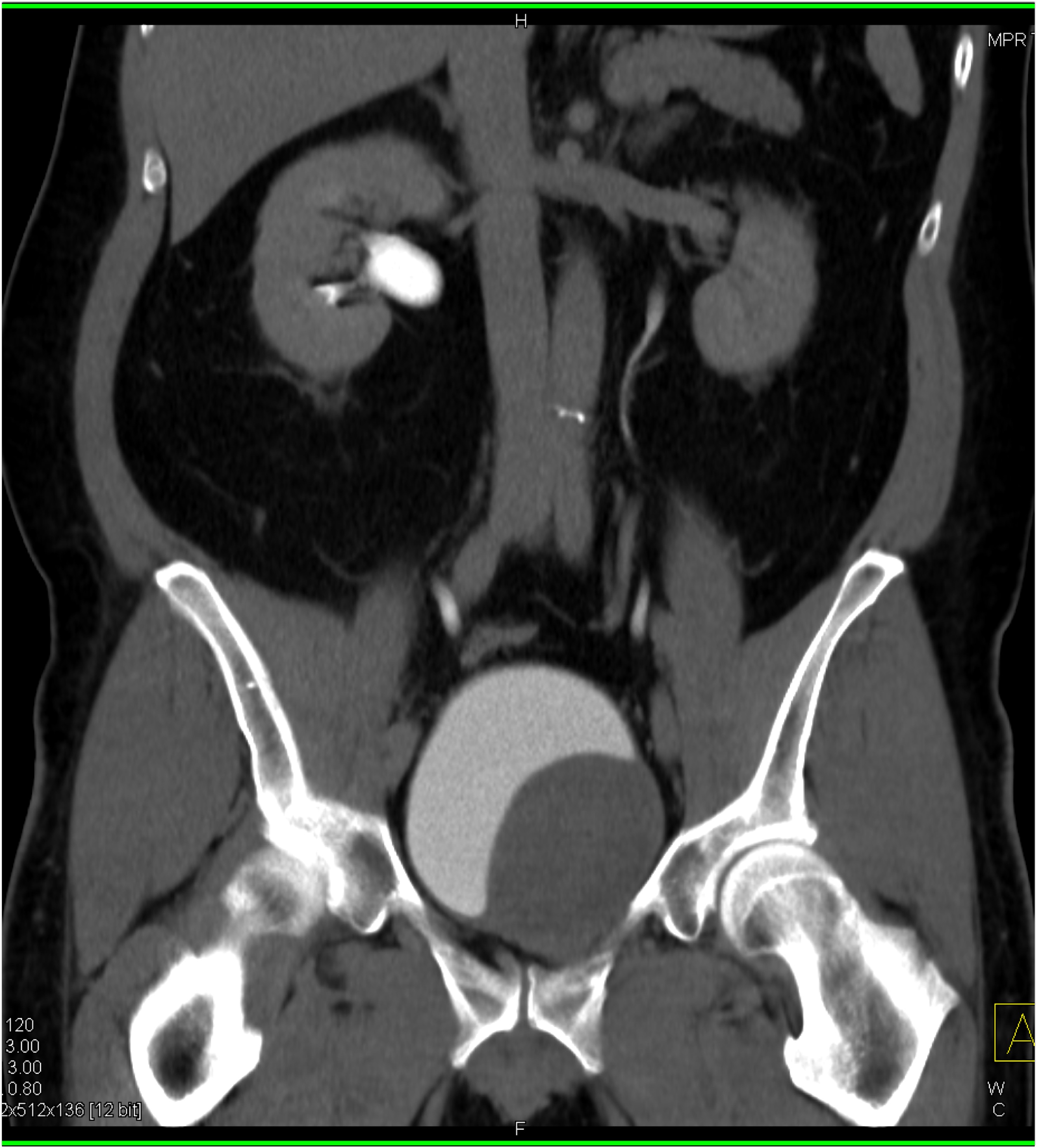
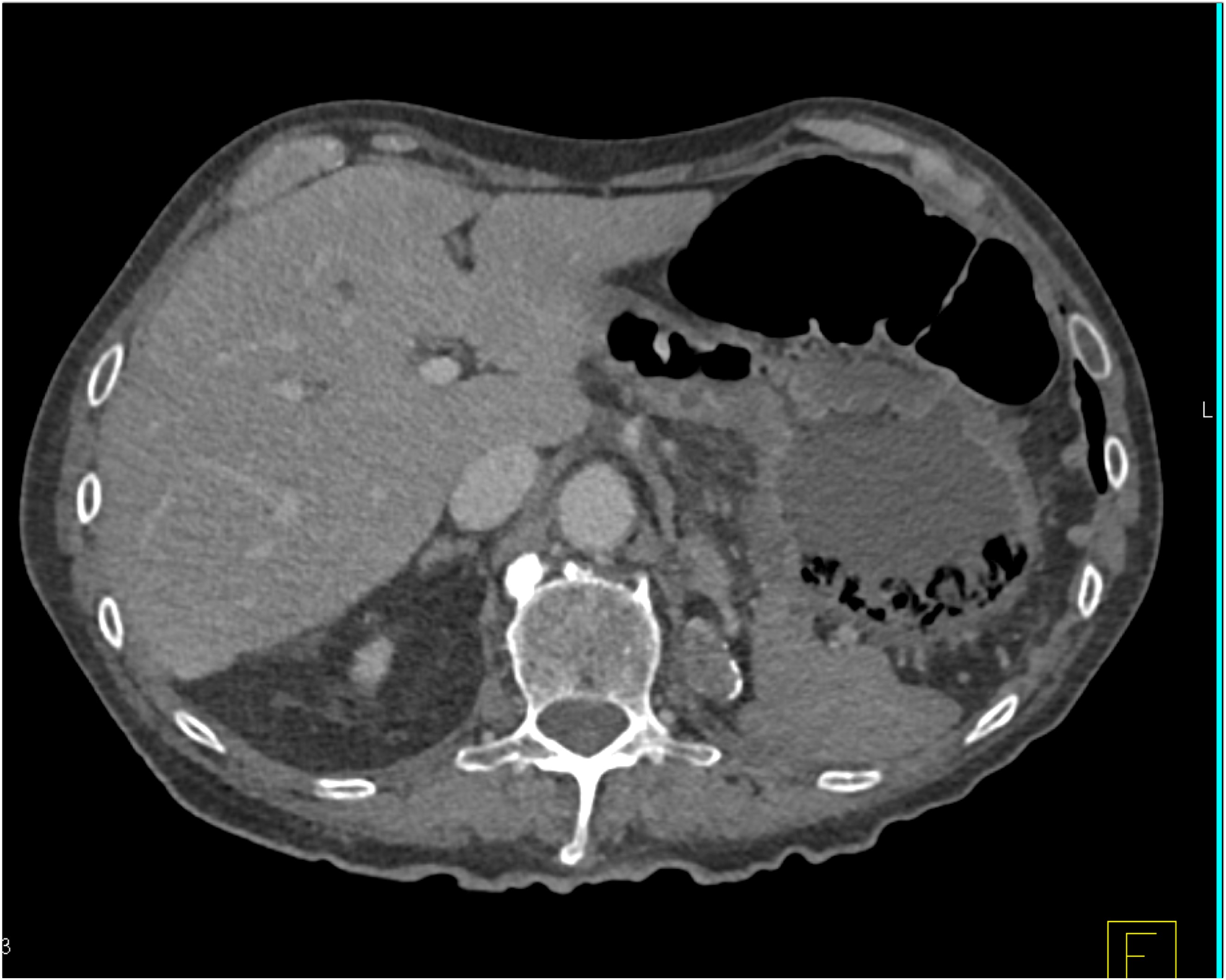
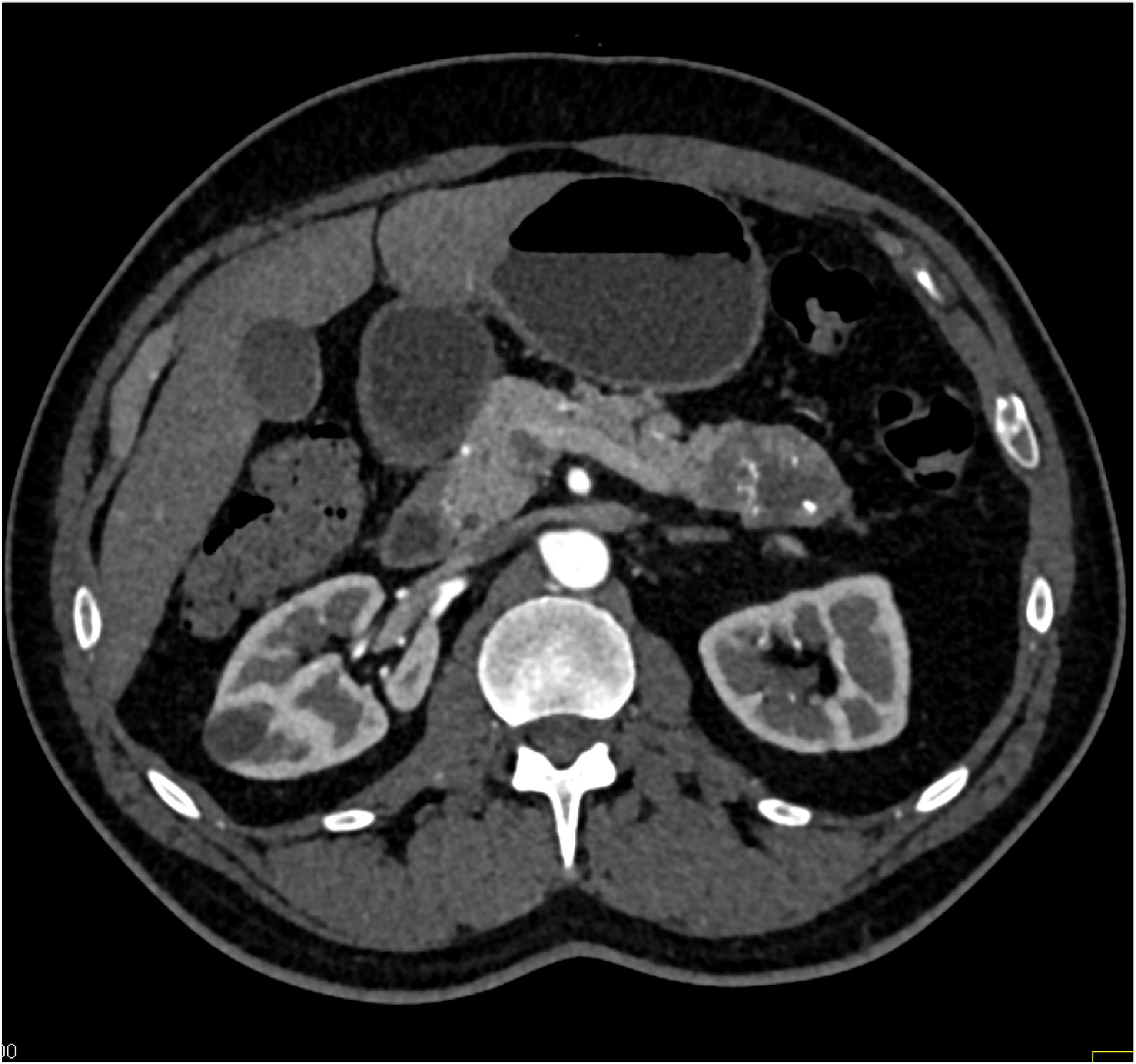
5) The most likely diagnosis in this case is?
adrenal cyst
duplication cyst
renal cyst
gastric diverticulum
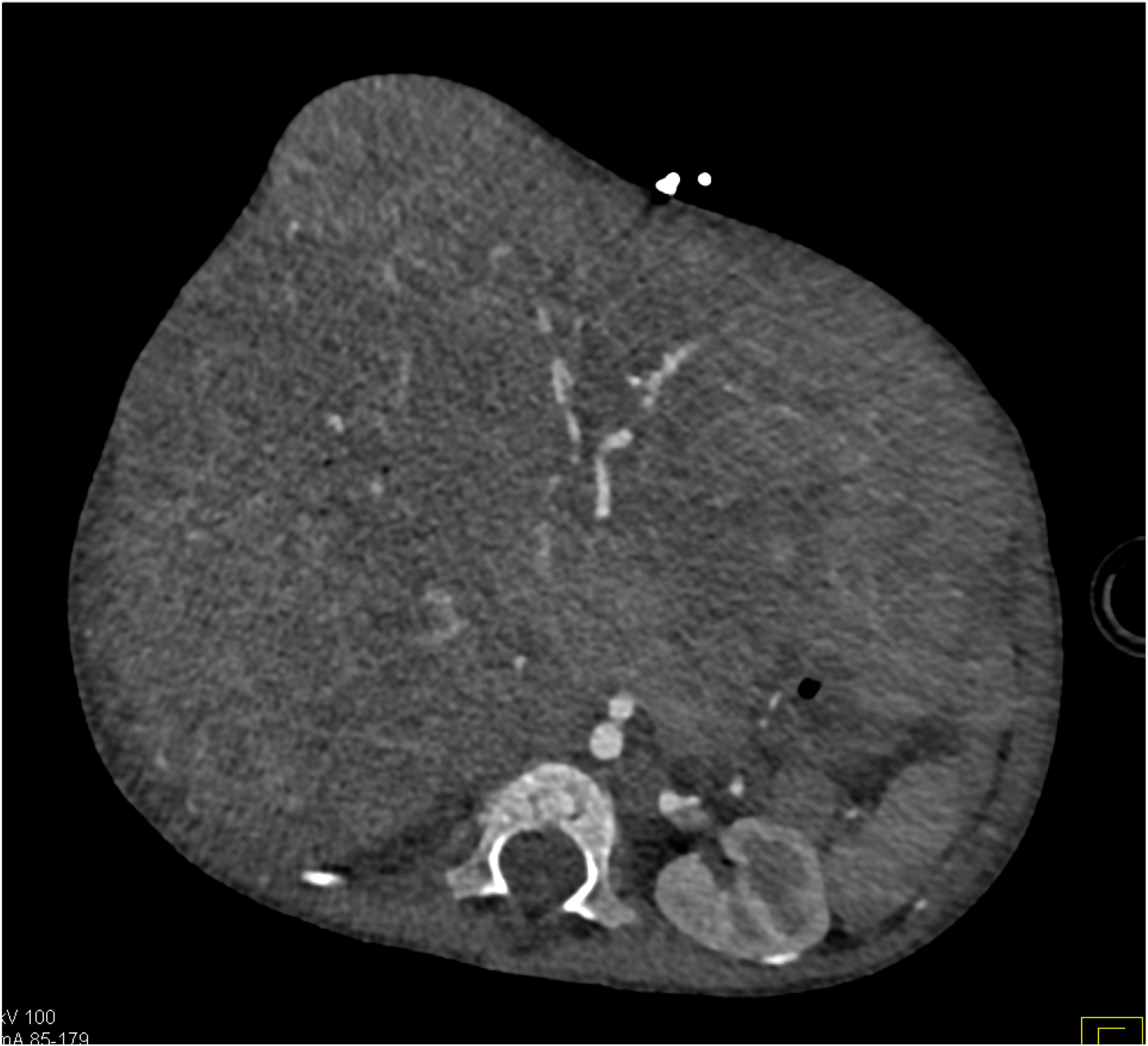
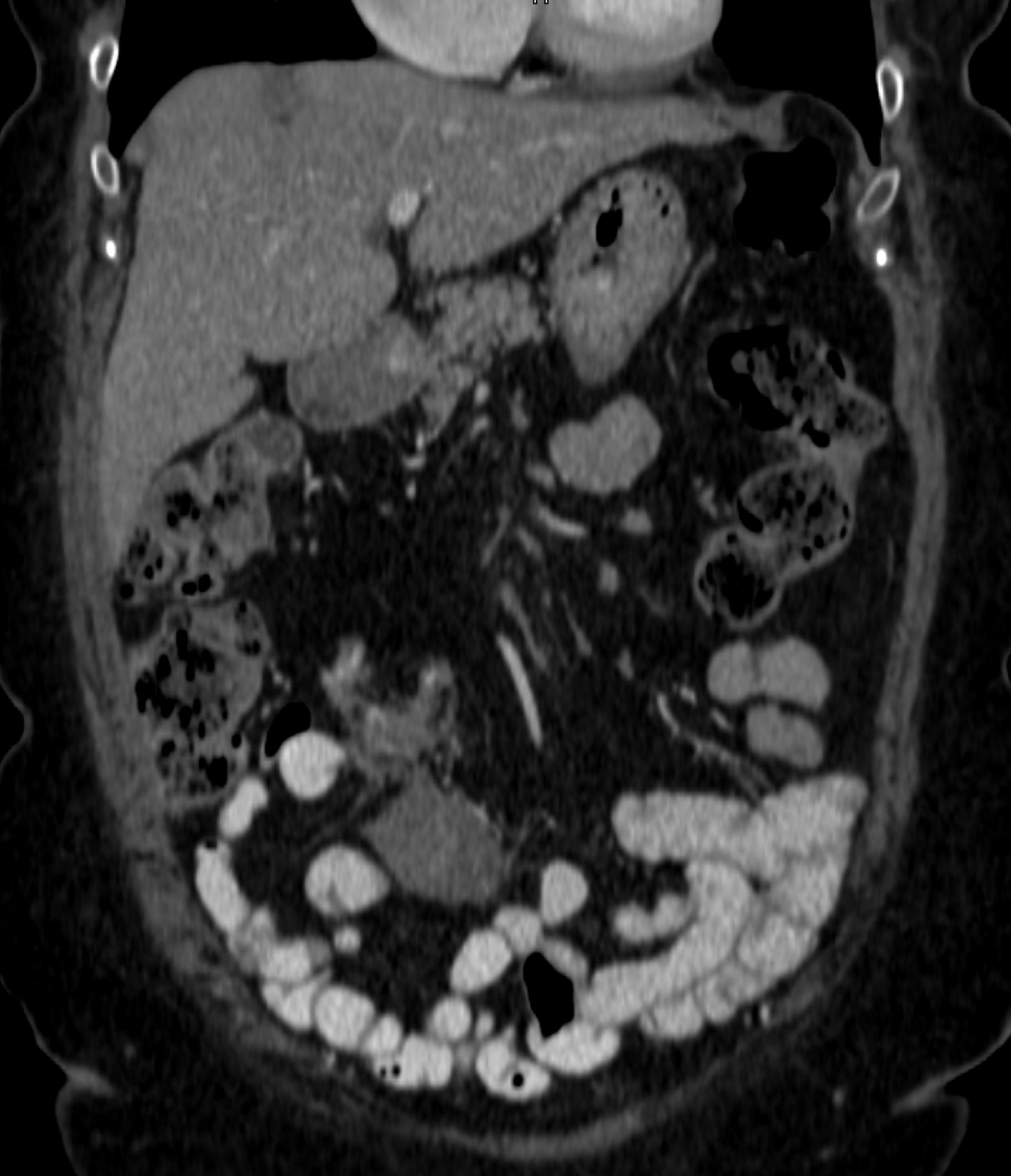
6) In this patient with LUQ pain and sepsis the best dx is?
gastric emphysema
gastritis
gastric ulcer
lymphoma
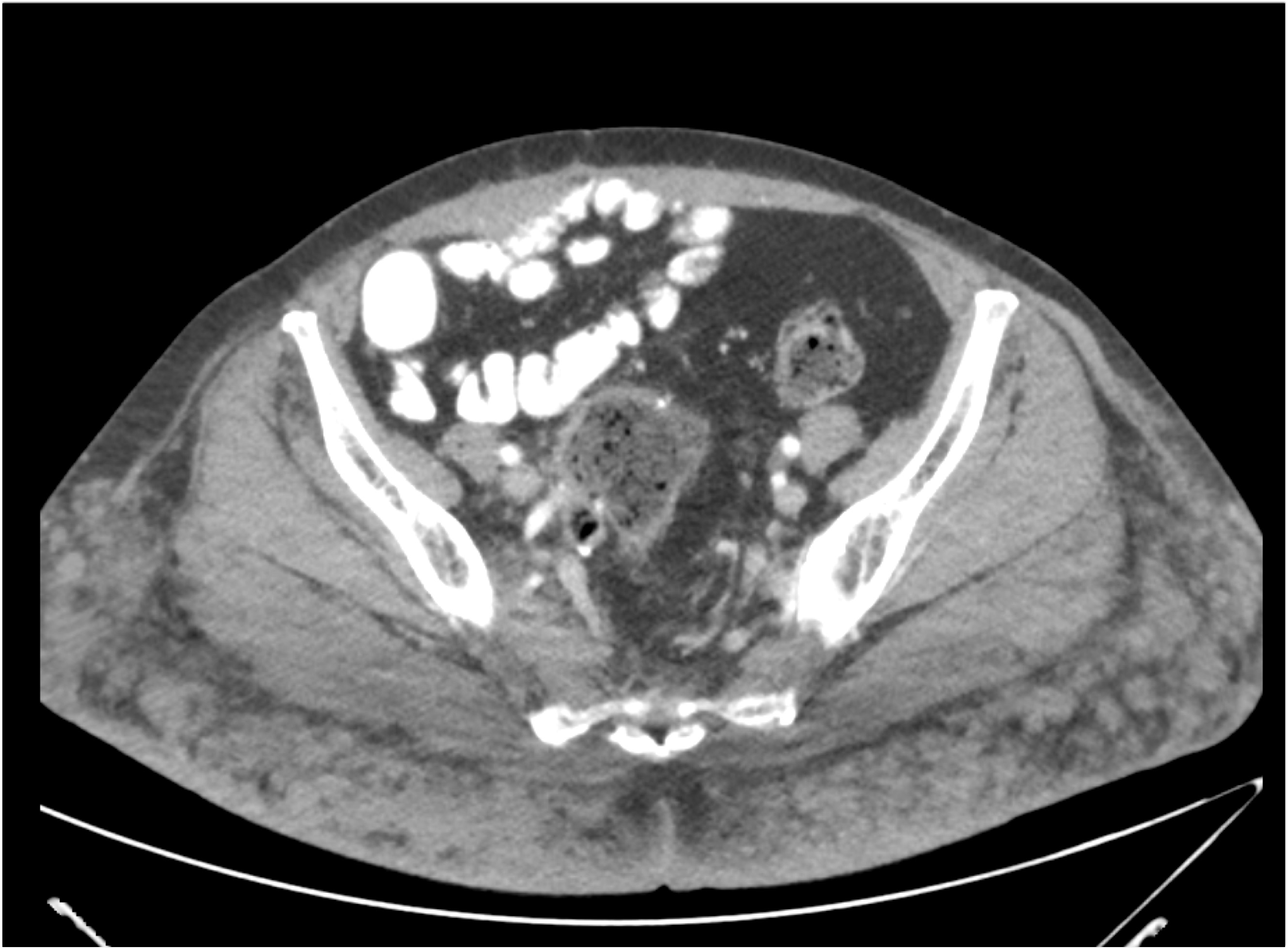
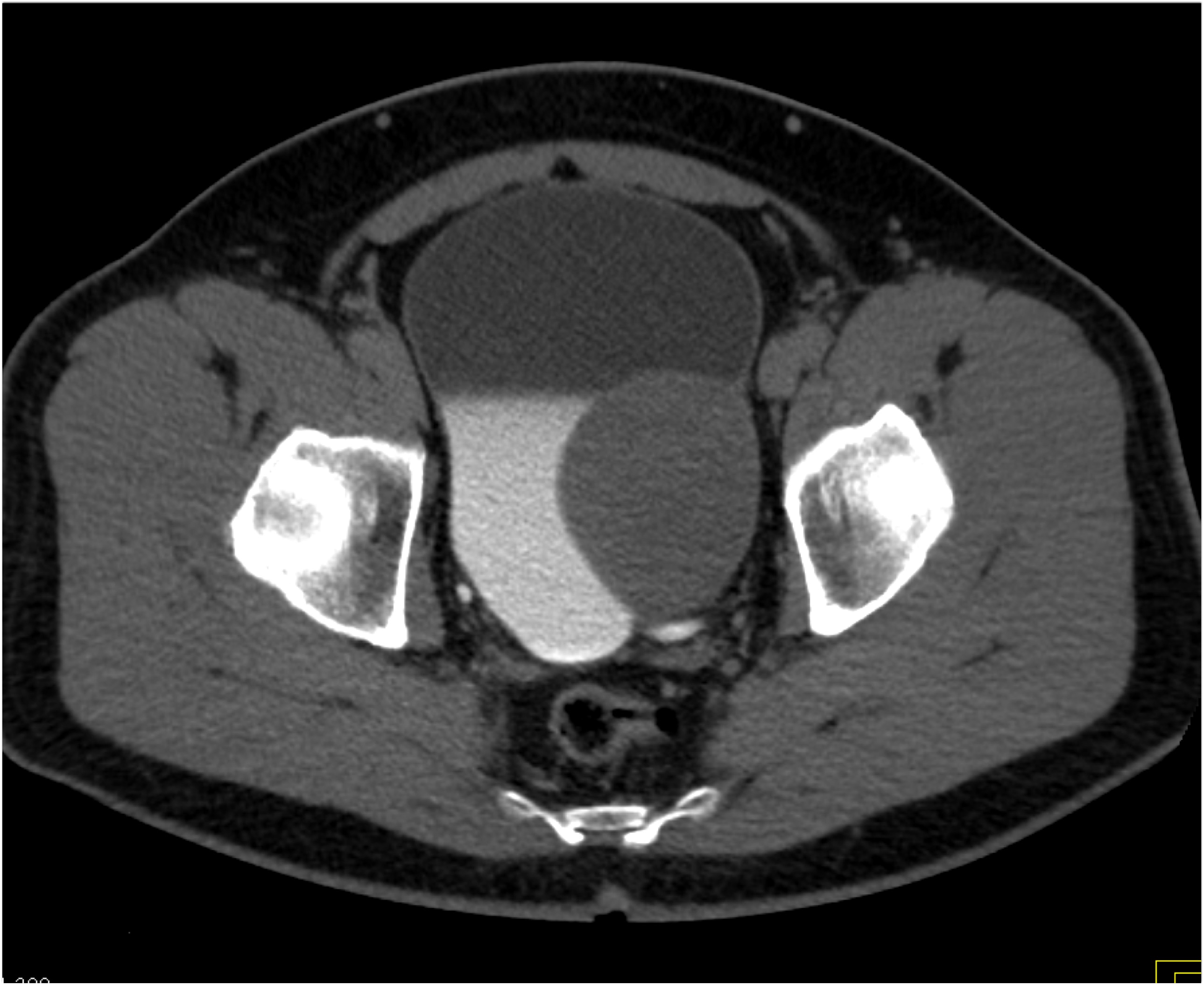
7) In this patient with pelvic pain the best diagnosis is?
lymphoma
silicon injection into buttocks
neurofibromatosis
intramuscular hemorrhage
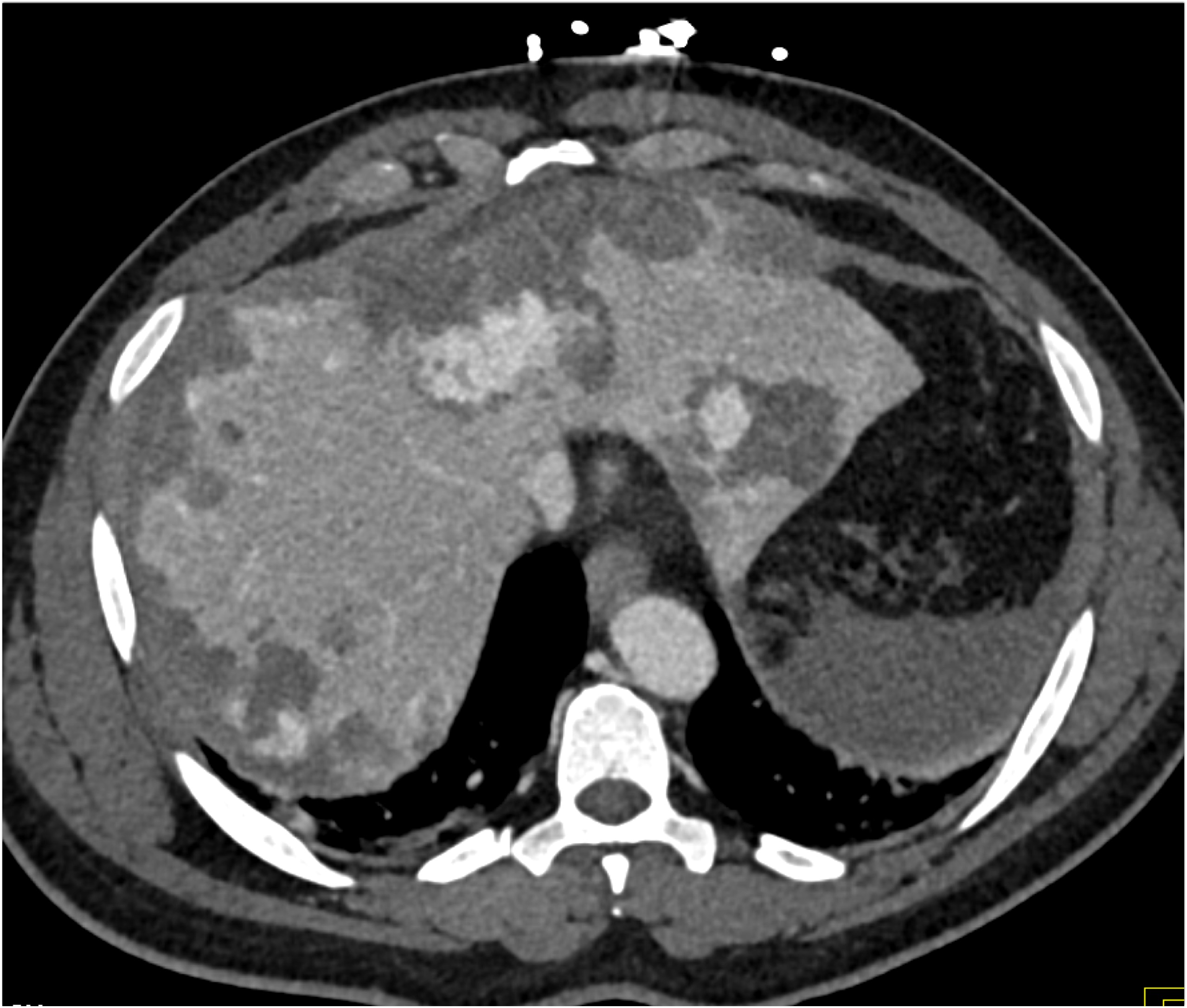
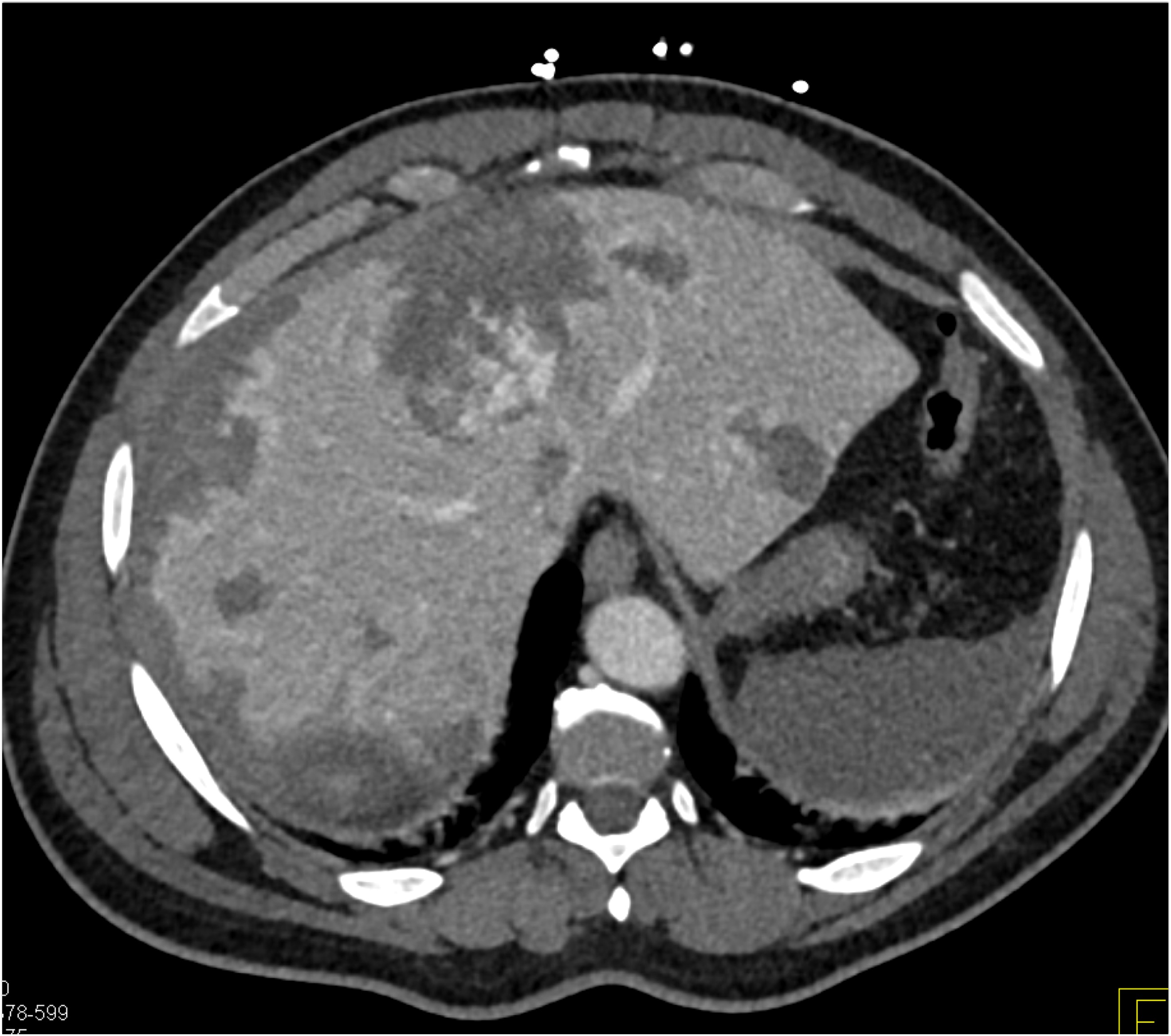
8) In this patient with RUQ pain and no history of trauma the best diagnosis is?
multiple hemangiomas
focal nodular hyperplasia
hepatic adenomas
angiosarcoma of the liver
9) The key finding on this coronary CTA in this patient with chest pain is?
LAD occlusion
LAD stenosis
RCA occlusion
RCA arises off the left cusp



