Small Bowel CT Appearances
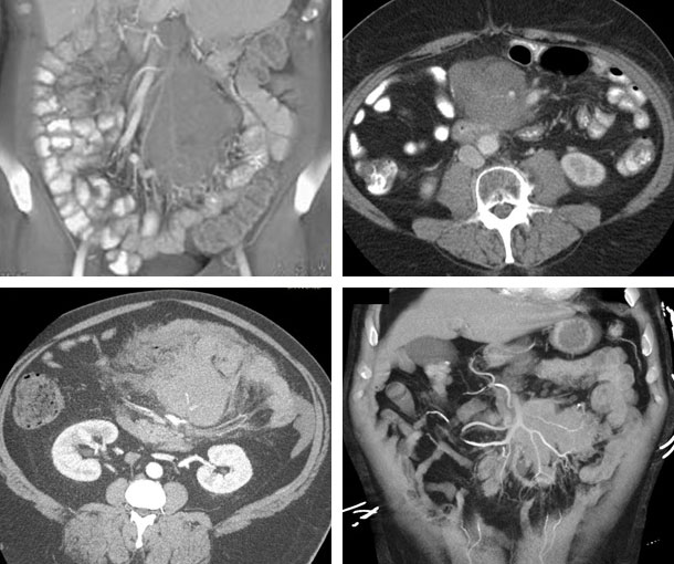
Mesenteric Lymphoma CT Findings
- Single or multiple homogeneous masses
- Can be either round/oval or irregularly shaped
- Mild enhancement
- Increased attenuation of mesenteric fat
- Areas of low attenuation due to necrosis
- Masses surround mesenteric arteries and veins (two masses surrounding the mesenteric vessels may be interpreted as the “sandwich sign”)
- Mesenteric lymphoma can be small or grow to be quite large
- Displacement or infiltration of the bowel is common

Other Information About Mesenteric Lymphoma
Etiology:
- Unknown
- Associated with exposure to certain pesticides and herbicides
Epidemiology:
- Very rare
- Typically presents after age 50
Presentation:
- Palpable mass
- Abdominal pain
- Weight loss
Prognosis:
- Because of its rarity, the true prognosis of mesenteric lymphoma is unknown
- It’s estimated that the 5-year relative survival rate is about 90%
Related Pearls: Lymphoma
Related Lectures:
Desmoid Tumor of the Mesentery: A Potential Mimic of Other GI Pathology
