Small Bowel CT Appearances
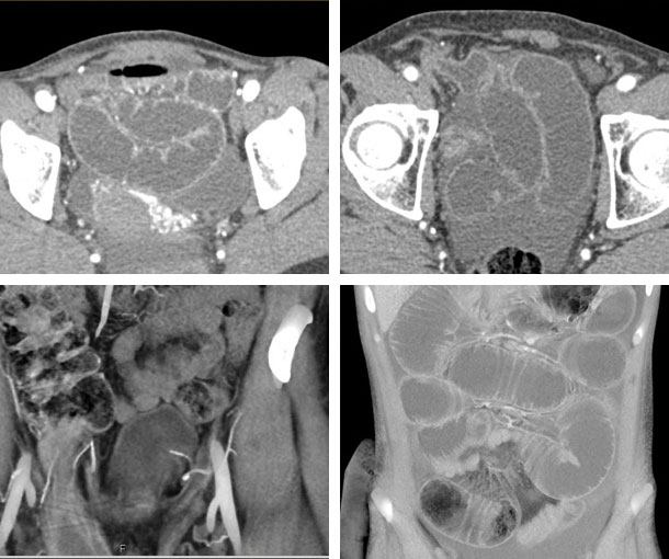
Inguinal Hernia CT Findings
Direct:- Protrusion of tissue through the transversalis fascia (Hesselbach triangle)
- Hernia sac is pushed medial and inferior to the inferior epigastric vessels
- Compressed and stretched inguinal canal
- Inguinal canal fat is pushed into “moon crescent” sign
- More common
- Protrusion of tissue through internal inguinal ring into inguinal canal
- Lateral to the Hesselbach triangle
- Lateral and superior to the inferior epigastric vessels
- In males, they can extend into the spermatic cord and scrotum; females, into the labia majora

Other Information About Inguinal Hernia
Etiology:
- Strain on the abdominal wall, which can be due to forced urination/defecation, frequent coughing, strenuous activities, heavy lifting, surgery, etc
- Pregnancy
- Certain patients may have weak abdominal muscles which makes them more susceptible to inguinal hernia
Epidemiology:
- Inguinal hernias are 8-10 times more common in males
Presentation:
- Palpable mass
- Pain around the groin area, which can range from mild discomfort to severe pain
- Pain and/or swelling of the testicles
Prognosis:
- Surgery is needed to repair a hernia
- For smaller or less painful hernias, symptoms can be managed
