Diagnostic Case Quiz ❯ You Make the Call ❯ Quiz #38
Archives:
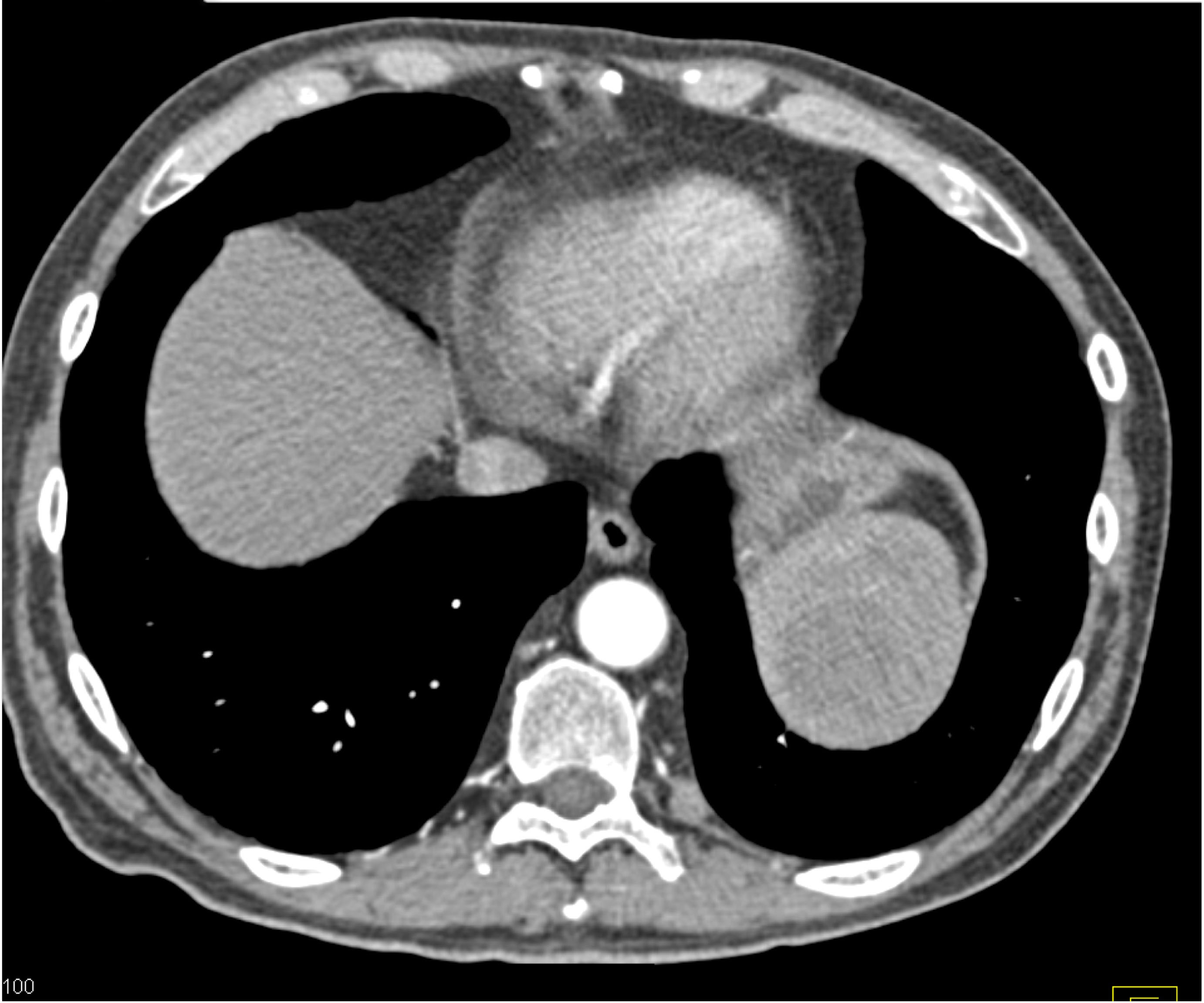
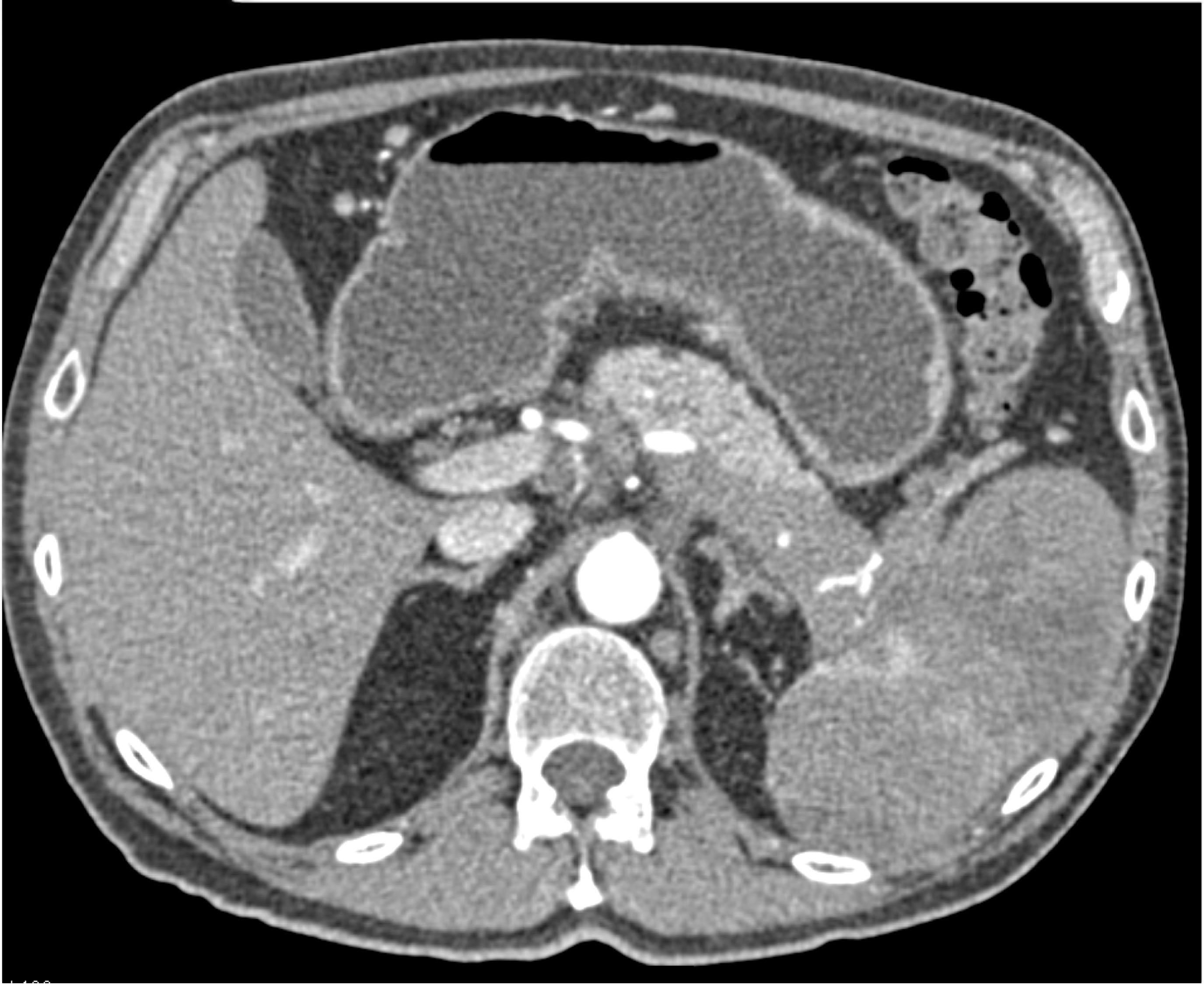
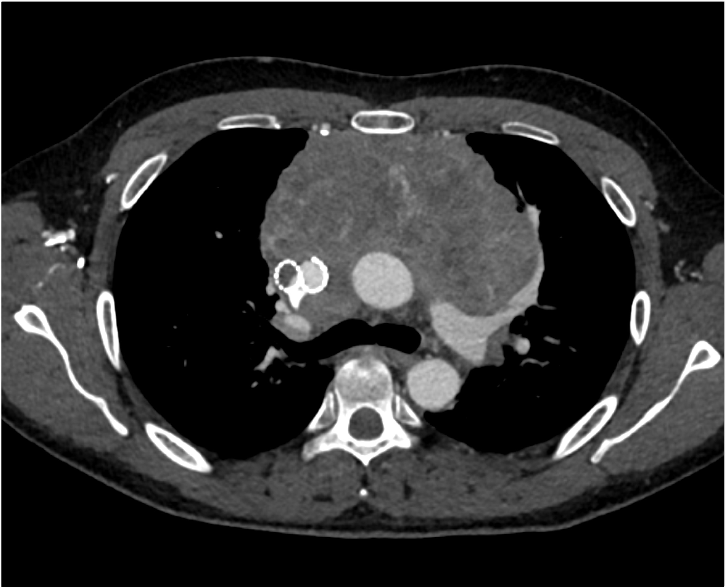
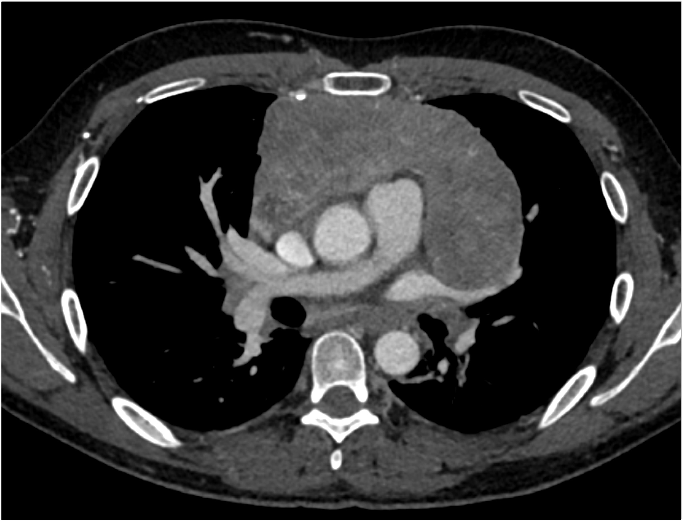
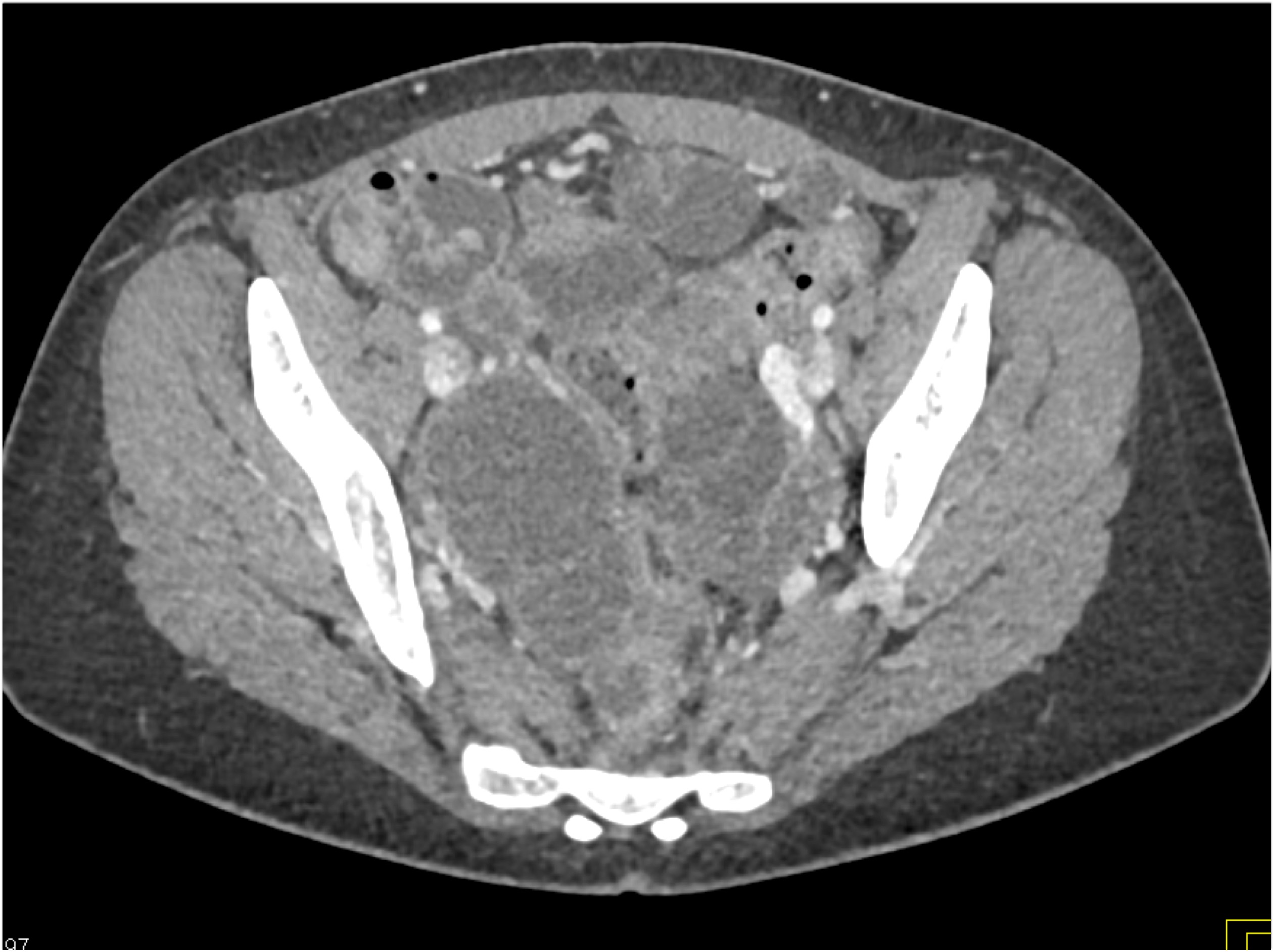
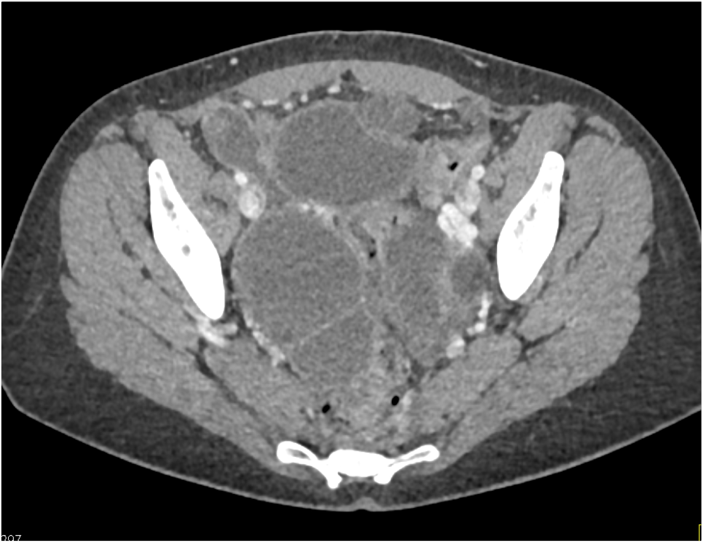
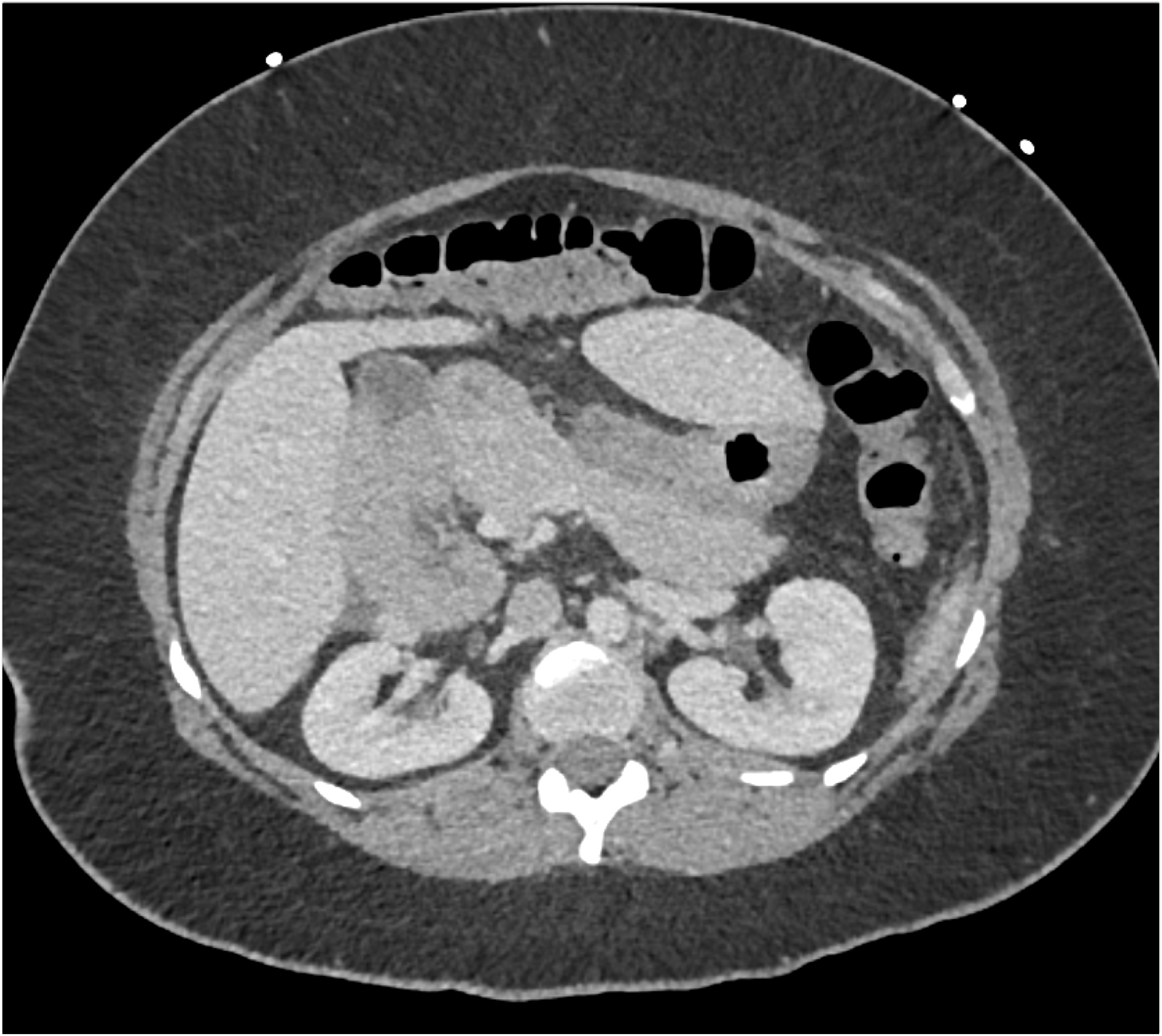
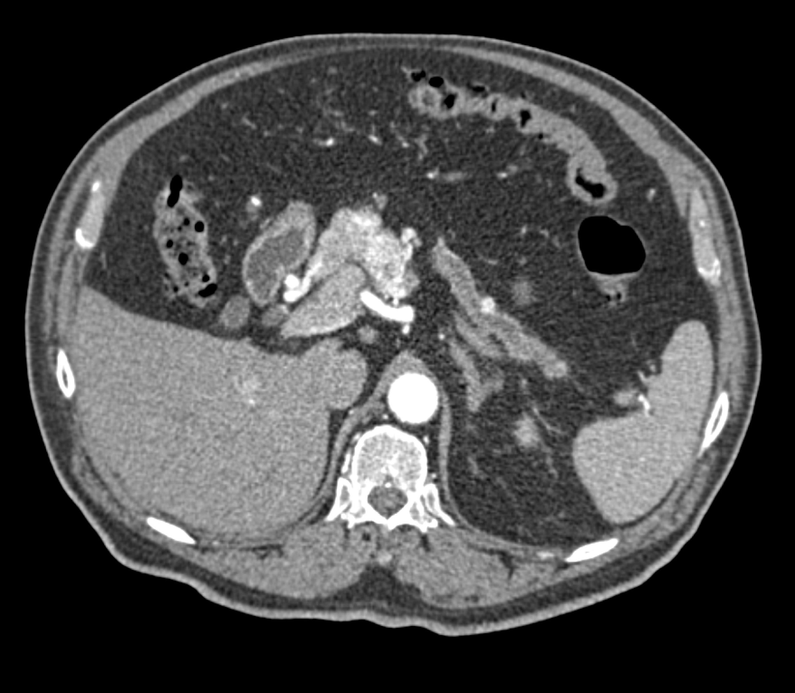
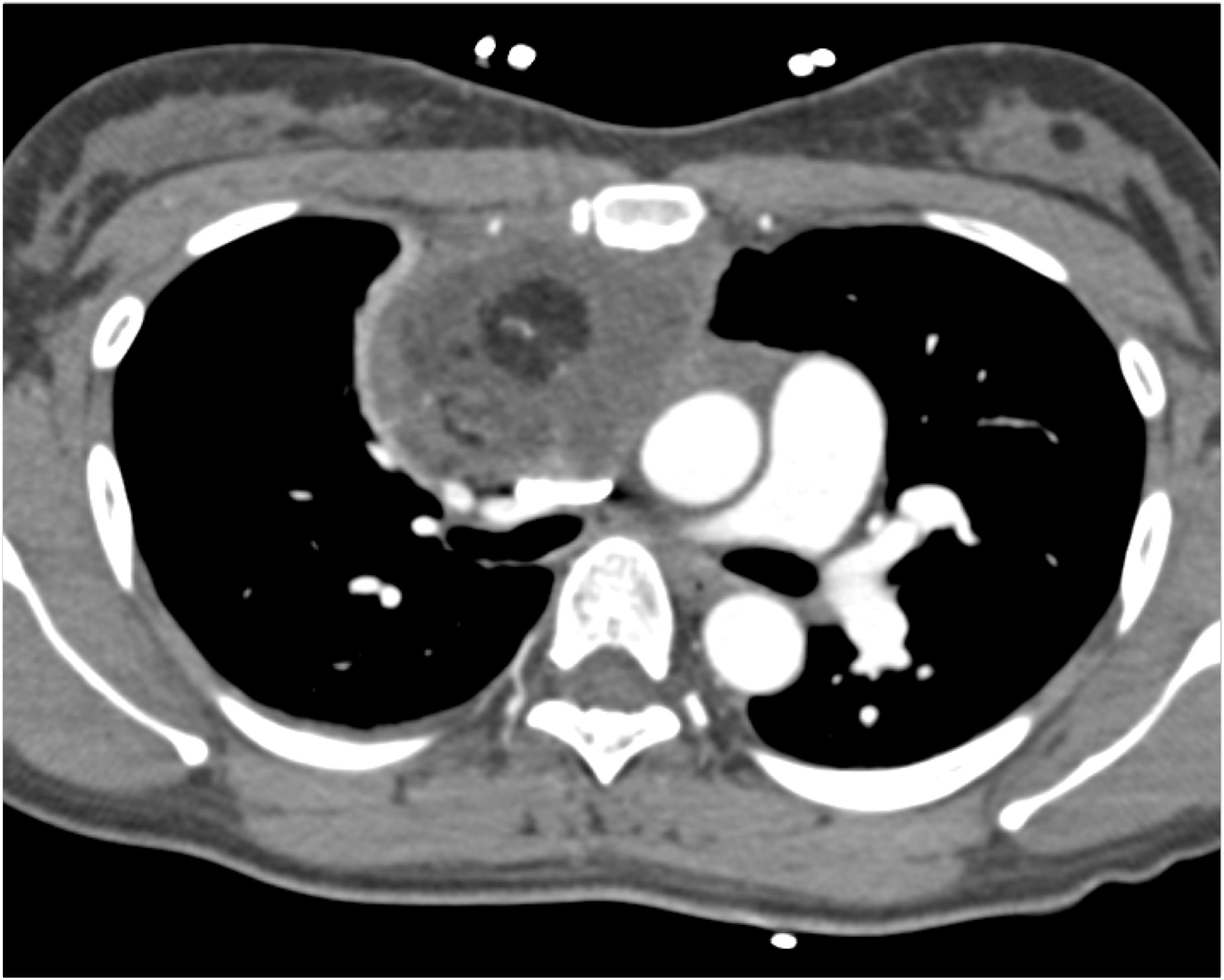
Instructions
- Evaluate the CT images of each question carefully.
- Click on thumbnail images to view a larger version of the images.
- Take time to make the call on the diagnosis for each individual question.
- Press the "Reveal Answer Discussion" to watch a discussion explaining the case and diagnosis in detail by Dr. Fishman. You don't need to login or register.










