Chest CT Appearances
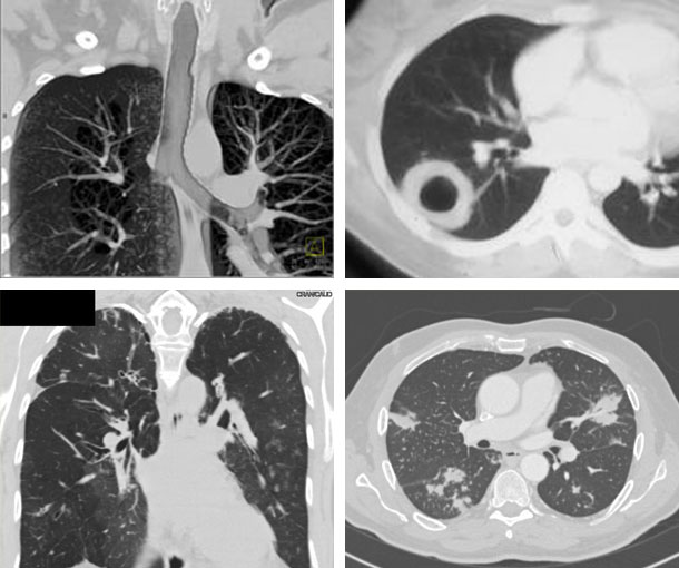
Granulomatosis With Polyangiitis CT Findings
- Cavitary nodules
- Large airway stenosis
- Nodules 1-10 cm in size
- Consolidation with or w/o hemorrhage
- Subglottic stenosis
- Adenopathy uncommon

Other Information About Granulomatosis With Polyangiitis
Etiology:
- Unknown
Epidemiology:
- Typically presents between ages 45-60
- More common in people of European descent
Presentation:
- Sinusitis
- Nasal congestion or rhinorrhea
- Epistaxis
- Ear and/or sinus pain
- Fever
- Fatigue
- Night sweats
- Dyspnea
Prognosis:
- If untreated, the 1-year survival rate is less than 20%
- If treated and managed, the patient’s lifespan can increase by several years
Related Lectures:
CT of the Trachea: A Practical Approach - Part 2
