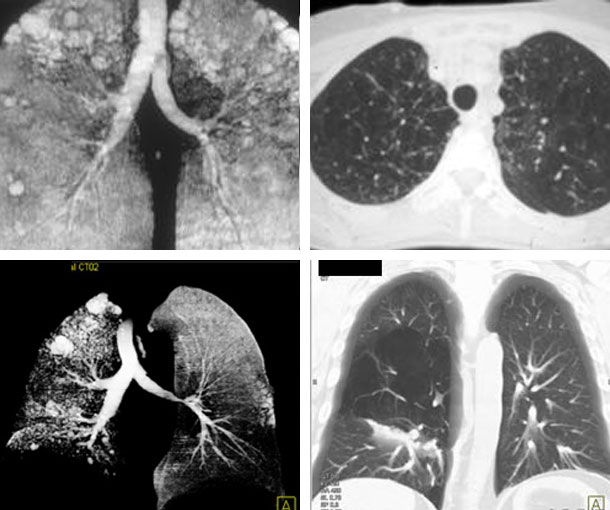
Chest CT Appearances
Pulmonary Emphysema CT Findings
- Small or large areas of low attenuation that are evenly distributed
- Ill-defined borders
- Pseudo-wall ~ 1mm thickness
- Vessels in center of emphysema

Other Information About Pulmonary Emphysema
Etiology:
- Smoking
- Air pollution (exterior and interior)
Epidemiology:
- Cigarette smokers are most commonly affected by emphysema
Presentation:
- Shortness of breath
- Wheezing
- Cough
- Chest tightness
- Tachypnea
- Fatigue
- Weight loss
Prognosis:
- Emphysema has no cure but symptoms can be managed
- Comorbidities and complications increase likelihood of mortality
