google ads

question

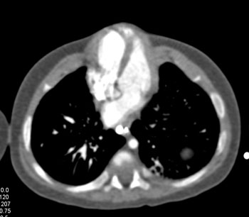
Question 8: Infant with chest and abdominal wall defect. What is the diagnosis?

answer

Diagnosis: Pentalogy of Cantrell

  • Exteriorization of the heart
  • Associated with CV malformations like ASD (50%), VSD (18%) and TOF (11%)
  • Omphalocele and defect lower sternum
  • Deficiency of diaphragmatic pericardium
  • Prognosis: death within first month of life
cardiac 64 mdctcardiac 64 mdct
cardiac 64 mdctcardiac 64 mdct
cardiac 64 mdctcardiac 64 mdct
cardiac 64 mdctcardiac 64 mdct
cardiac 64 mdctcardiac 64 mdct
cardiac 64 mdctcardiac 64 mdct
cardiac 64 mdctcardiac 64 mdct

 

Privacy Policy

Copyright © 2025 The Johns Hopkins University, The Johns Hopkins Hospital, and The Johns Hopkins Health System Corporation. All rights reserved.