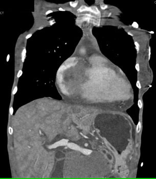
![]() | Question 14: HIV patient with increasing chest discomfort. The study was requested to rule out a pulmonary embolism. What is the diagnosis? |
![]() |
This case has 12 images | |
![]() | ![]() |
![]() | ![]() |
![]() | ![]() |
![]() | ![]() |
![]() | ![]() |
![]() | ![]() |
![]() | Question 14: HIV patient with increasing chest discomfort. The study was requested to rule out a pulmonary embolism. What is the diagnosis? |
![]() |
This case has 12 images | |
![]() | ![]() |
![]() | ![]() |
![]() | ![]() |
![]() | ![]() |
![]() | ![]() |
![]() | ![]() |