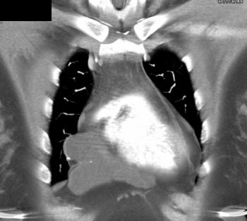
|  | Question 5: 47 year old male with mass discovered on CT during chest pain workup. What is the diagnosis? | 
|  | 
| This case has 8 Images: | |
|  |  | 
|  |  | 
|  |  | 
|  |  | 
|  | Question 5: 47 year old male with mass discovered on CT during chest pain workup. What is the diagnosis? | 
|  | 
| This case has 8 Images: | |
|  |  | 
|  |  | 
|  |  | 
|  |  |