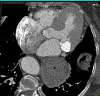
|  | Question 3: 87 yr old female with history of hypertension had negative stress echo, presents with acute chest pain. What’s the diagnosis? | 
|  | 
| This case has 6 images: | |
|  |  | 
|  |  | 
|  |  | 
|  | Question 3: 87 yr old female with history of hypertension had negative stress echo, presents with acute chest pain. What’s the diagnosis? | 
|  | 
| This case has 6 images: | |
|  |  | 
|  |  | 
|  |  |