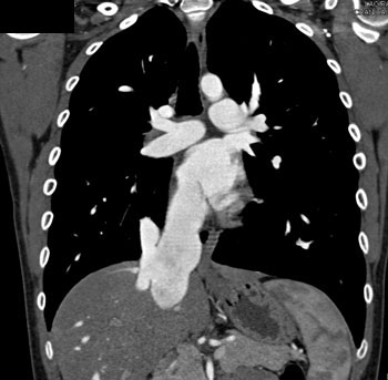
|  | Question 4: 20 year old male with a history of mitral valve prolapse and increasing exertional dyspnea and palpitations. What’s the diagnosis? | 
|  | 
| This case has 12 images: | |
|  |  | 
|  |  | 
|  |  | 
|  |  | 
|  |  | 
|  |  | 
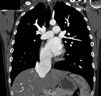
|  | Question 4: 20 year old male with a history of mitral valve prolapse and increasing exertional dyspnea and palpitations. What’s the diagnosis? | 
|  | 
| This case has 12 images: | |
|  |  | 
|  |  | 
|  |  | 
|  |  | 
|  |  | 
|  |  |