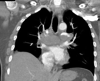
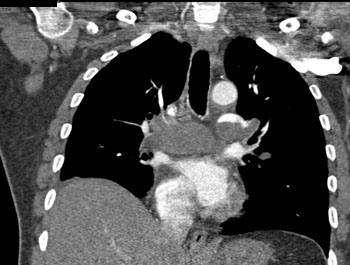
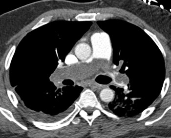
|  | Question 13: A 55 year old man with past medical history of pulmonary hypertension, systemic hypertension, and hyperlipidemia presented with dyspnea. A contrast enhanced computed tomography (CT) scan revealed bilateral pulmonary emboli. Patient was started on anticoagulation and discharged home uneventfully. A repeat CT weeks later suggests? | 
|  | 
| This case has 13 images | |
|  |  | 
|  |  | 
|  |  | 
|  |  | 
|  |  | 
|  |  | 
|  | |
