google ads

question

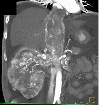
Question 7: 50ish year old male with increasing chest and abdominal discomfort. What is the most likely diagnosis in this case?

answer

Diagnosis: Renal Cell Carcinoma Invades the Renal Veins and IVC

cardiac 64 mdctcardiac 64 mdct
cardiac 64 mdctcardiac 64 mdct
cardiac 64 mdctcardiac 64 mdct
cardiac 64 mdctcardiac 64 mdct
cardiac 64 mdctcardiac 64 mdct
cardiac 64 mdctcardiac 64 mdct
cardiac 64 mdctcardiac 64 mdct
cardiac 64 mdctcardiac 64 mdct

 

Differential Dx: Right Atrial Mass

  • Intracardiac thrombosis
  • Atrial myxoma (15% of myxomas)
  • Metastases including direct tumor extension (renal,adrenal and hepatoma)
  • lymphoma

Metastatic Chondrosarcoma to the Pulmonary Veins Extending into the Left Atrium

cardiac 64 mdctcardiac 64 mdct
cardiac 64 mdctcardiac 64 mdct
cardiac 64 mdctcardiac 64 mdct

 

Privacy Policy

Copyright © 2025 The Johns Hopkins University, The Johns Hopkins Hospital, and The Johns Hopkins Health System Corporation. All rights reserved.