google ads

question

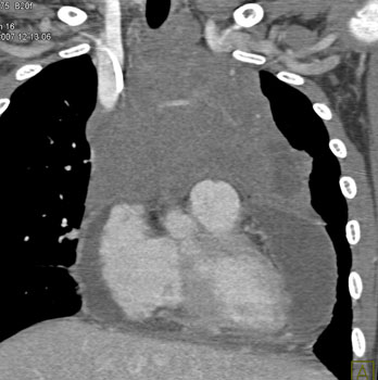
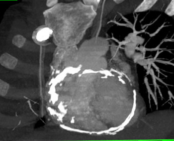
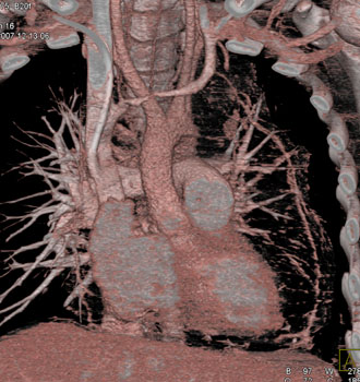
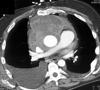
Question 6: 50ish yr old male with increasing SOB and dyspnea.What’s the diagnosis?

answer

Diagnosis: Angiosarcoma of the Pericardium

Angiosarcoma of the Pericardium: Facts

  • Most common cardiac sarcoma
  • Most common in middle aged men
  • Most commonly located near right atrial free wall with involvement of pericardium
  • Typically infiltrates pericardium

The Pericardium: Facts

  • Normal thickness under 2 mm
  • 50 ml of fluid is normal
  • Calcification may be a sign of constrictive pericarditis
  • Typically infiltrates pericardium
  • Pericardium is involved in a range of inflammatory and neoplastic processes

Pericardial Tumors: Facts

  • Most often metastatic disease rather than a primary tumor
  • Common primaries include esophageal cancer, thymoma, lung cancer and melanoma
    and breast cancer
  • Lung cancer is most common in males and breast cancer in females
cardiac 64 mdctcardiac 64 mdct
cardiac 64 mdctcardiac 64 mdct

 

Primary Cardiac Tumors: Facts

  • Uncommon
  • 75% are benign, 25% are malignant
  • Most malignant cardiac tumors are angiosarcomas
  • Angiosarcomas occur most commonly in the right atrium

Cardiac Tumors: Facts

  • Most common primary cardiac tumor is myxoma
  • Myxomas are most common in the left atrium in or near the foramen ovale
  • Benign tumors make up 77% of primary cardiac tumors
  • Pericardial tumors are more common than intracardiac tumors

Pericardial tumors are more common than intracardiac tumors

  • Primary sites: lung, breast and melanoma
  • May be multiple
  • Commonly enhance
  • Primary may be seen on the scan

Lymphoma Involves the Pericardium

cardiac 64 mdctcardiac 64 mdct

 

Left Innominate Vein Encased

cardiac 64 mdctcardiac 64 mdct
cardiac 64 mdctcardiac 64 mdct
cardiac 64 mdctcardiac 64 mdct

 

Pericardial Hemorrage

cardiac 64 mdctcardiac 64 mdct
cardiac 64 mdctcardiac 64 mdct

 

Constrictive Pericarditis

cardiac 64 mdctcardiac 64 mdct
cardiac 64 mdctcardiac 64 mdct
cardiac 64 mdctcardiac 64 mdct
cardiac 64 mdctcardiac 64 mdct
cardiac 64 mdctcardiac 64 mdct

Privacy Policy

Copyright © 2025 The Johns Hopkins University, The Johns Hopkins Hospital, and The Johns Hopkins Health System Corporation. All rights reserved.