google ads

question

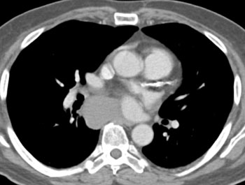
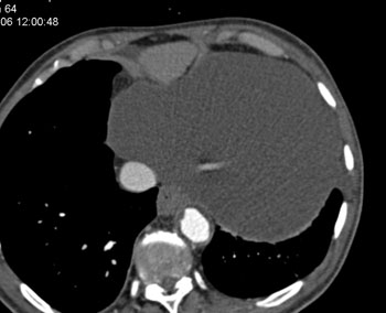
Question 5: 47 year old male with mass discovered on CT during chest pain workup. What is the diagnosis?

answer

Diagnosis: Pericardial cyst

 

Pericardial Cyst: Facts

  • Usually at right anterior costophrenic angle
  • Water density on CT
  • 2-30 cm in size
  • Homogeneous without any enhancement
  • Anomalous outpouching of the parietal pericardium
  • Right costophrenic location in 70-90% of cases
  • Size from 1 cm to >25 cm
  • Usually incidental finding in an asymptomatic person
Pericardial Cysts: CT Findings
  • Smoothly marginated lesion surface
  • Less than 10 HU
  • No enhancement on contrast studies
  • Size range from 2-30 cm
  • Usually incidental finding in an asymptomatic person
Pericardial Cyst: Facts
  • Usually an incidental finding
  • May be confused with a Morgagni hernia or duplication cyst or occassionally a thymic cyst
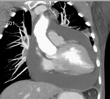
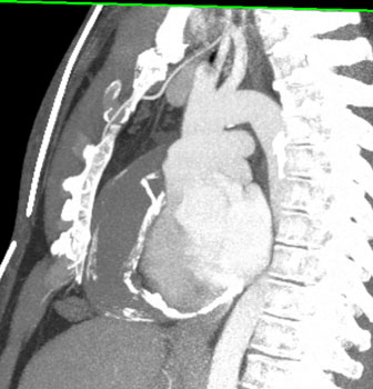
Pericardial cyst

 

Pericardial Cyst: Facts

  • Usually at right anterior costophrenic angle
  • Water density on CT
  • 2-30 cm in size
  • Homogeneous without any enhancement

Pericardial Cyst

 

 

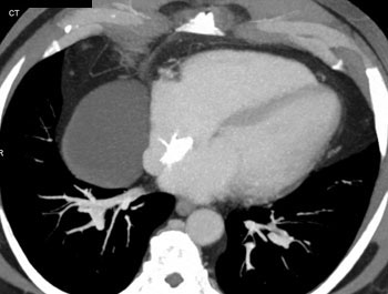
Partially Calcified Pericardial Cyst

 

Pericardial Cyst: Differential Diagnosis

  • Loculated pleural effusion
  • Bronchogenic cyst
  • Hematoma
  • Esophageal duplication cyst
  • Pericardial tumor

Pericardial Cysts Occassionally Can Be Confused With

  • Paracardiac nodes
  • Loculated effusion
  • Bronchogenic cyst
  • Pericardial mass
  • Loculated pericardial effusion

Bronchogenic Cyst

 

Paracardiac Adenopathy

 

 

Pericardial Effusion S/P AVR

 

Pericardial Effusion

 

Thymic cyst

 

Privacy Policy

Copyright © 2025 The Johns Hopkins University, The Johns Hopkins Hospital, and The Johns Hopkins Health System Corporation. All rights reserved.