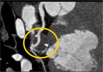
Dx-Aneurysm of the Circumflex Coronary Artery In this patient the cause of the coronary artery aneurysm was atherosclerotic disease and could best be managed by surgical intervention. The patient ultimately decided against any intervention.
What is a coronary artery aneurysm?
Coronary Artery Aneurysms: Common Causes
Coronary Artery Aneurysms: Common Etiologies
Kawasaki Disease: Facts
Kawasaki Disease: Facts
Kawasaki Disease: Facts
8 mm Aneurysm of the Left Main Coronary Artery 11 year old male with a history of Kawasaki’s disease at 8 months of age. The patient complained of episodic mid sternal chest pain occasionally.
Kawasaki Disease with Giant Coronary Artery Aneurysms 12 year old male with a hx of Kawasaki disease being treated with coumadin and aspirin. CTA was requested to define the status of the coronary arteries. CTA demonstrated multiple RCA aneurysms measuring up to 9mm in size. Portions of the RCA wall have begun to calcify
What is the accuracy of MDCT/CTA in detection coronary artery aneurysms? "Multislice spiral computed tomography was performed in 16 adolescents and young adults who had Kawasaki's disease to assess coronary artery abnormalities. Adequate images were obtained for 96% of major coronary segments. The sensitivity of multislice spiral computed tomography to detect coronary artery aneurysms was 100%, and that for significant stenosis and occlusions was 87.5%, whereas false-positive results due to severe calcification was present in 5 arteries and those due to cardiac motion artifact were present in 2, resulting in a specificity of 92.5%." Assessment of coronary artery abnormalities by multislice spiral computed tomography in adolescents and young adults with Kawasaki disease. Takayasu Disease or Takayasu Arteritis
Takayasu’s Aortitis with Left Main Coronary Artery Aneurysm 16 year old male with a history of Takayasu aortitis and severe chest pain. The CTA was ordered to rule out an aortic dissection. CTA detected no dissection but defined aneurysmal dilatation of the left main coronary artery.
Coronary Artery Aneurysms: Illustrated Cases
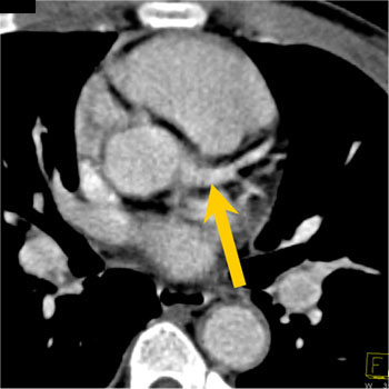
Aneurysm of Circumflex Coronary Artery 27 year old female with symptoms of increasing fatigue and pulsation in the left chest and neck. CTA demonstrates a persistent left SVC and aneurysm of the circumflex coronary artery.
Thrombosed Right Coronary Artery Aneurysm 68 yr old male with long standing hx of coronary artery disease. Patient had increasing angina. CTA detected near occlusion of LAD and a 3 cm RCA aneurysm. Subsequent catheter angiography did not detect the aneurysm. The patient had bypass surgery and at surgery a 3 cm thrombosed RCA aneurysm was detected.
Coronary Artery Aneurysm: Acute Clinical Presentation Although most coronary artery aneurysms present in the non-acute setting others may present as an acute life threatening process. We have seen this in cases related to infection or due to Kawasaki’s disease. In the acute setting hemopericardium is a ominous sign of rupture or pending rupture Contained Rupture of an LAD Aneurysm and Hemopericardium 19 yr old male with onset of left shoulder pain beginning 3 weeks earlier and now becoming severe chest pain. Patient arrived in the ER hypotensive. Patient has a hx of Dengue fever 10 years earlier.
Aneurysmal Dilatation of the LAD and CX Coronary Arteries 40 yr old female with hx of surgical correction of anomalous LCA from pulmonary artery at age 11. Patient presents with exertional chest discomfort that has been increasing. CTA demonstrates aneurysmal dilatation of LAD and circumflex coronary arteries.
Coronary Artery Button Aneurysm s/p Aortic Root Replacement 20 yr old female with Marfan Syndrome and prior aortic root replacement with St. Jude composite graft for aortic root aneurysm. Patient developed sharp chest pain following exercise and a CTA was requested. CTA demonstrates aneurysm dilatation of RCA at surgical site. “Button Aneurysm” of RCA found at surgery and repaired.
Conclusion With the increased use of coronary CTA one should be aware of the CTA appearance of coronary artery aneurysms. |




































