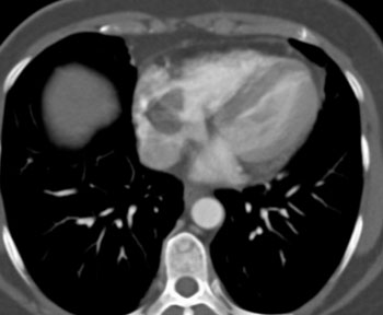
Diagnosis: Left Atrial Myxoma 
Atrial Myxoma: facts - Most common benign tumor of the heart
- 85% are in left atrium attached to atrial septum near fossa ovalis
- Calcification is seen in half the patients
Left Atrial Myxoma: Facts - Average age is 50
- Woman are more likely to have this mass (60%)
- Calcification is seen in half the patients
- These lesions are usually sporadic in occurrence but there is a familial occurrence as well (10% of cases)
Atrial Myxoma: Differential Diagnosis - Intracardiac thrombus
- Cardiac metastasis
- Cardiac lipoma
- Primary cardiac malignancies
- Cardiac lymphoma
Atrial Myxoma: Clinical presentation - Valvular obstruction (40%)-dyspnea, edema
- Constitutional (30%)- fatigue, FUO, weight loss
- Embolic events (30%)- including emboli to the brain
Differential Dx: Right Atrial Mass - Intracardiac thrombosis
- Atrial myxoma (15% of myxomas)
- Metastases including direct tumor extension (renal,adrenal and hepatoma)
- lymphoma
Atrial Myxoma Left Atrial Myxoma Atrial Myxomas:Facts - 4x more commonly in left atrium when compared to the right atrium
- Can grow thru the fossa ovalis and therefore be in both right and left atrium
- Tumor can result in emboli to heart or brain
Clot in Right Atrium Clot in Left Atrium simulates a Myxoma |