google ads

question

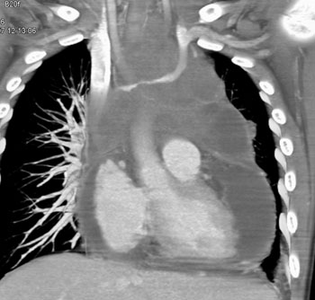
Question 14: HIV patient with increasing chest discomfort. The study was requested to rule out a pulmonary embolism. What is the diagnosis?

answer

Diagnosis: Primary Cardiac Lymphoma and Pancreatic Mass

cardiac 64 mdctcardiac 64 mdct

 

Tumor Involvement of the Heart and Pericardium in Lymphoma: Pathways of Involvement

  • retrograde lymphatic extension
  • hematogenous spread
  • direct contiguous extension
  • transvenous extension

Lymphoma Involves the Pericardium

cardiac 64 mdctcardiac 64 mdct

 

Left Innominate Vein Encased

cardiac 64 mdctcardiac 64 mdct
cardiac 64 mdctcardiac 64 mdct
cardiac 64 mdctcardiac 64 mdct

 

Privacy Policy

Copyright © 2025 The Johns Hopkins University, The Johns Hopkins Hospital, and The Johns Hopkins Health System Corporation. All rights reserved.