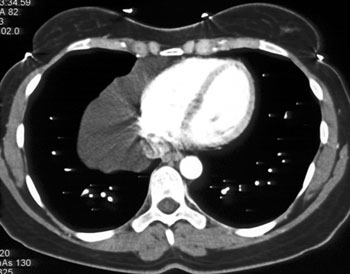
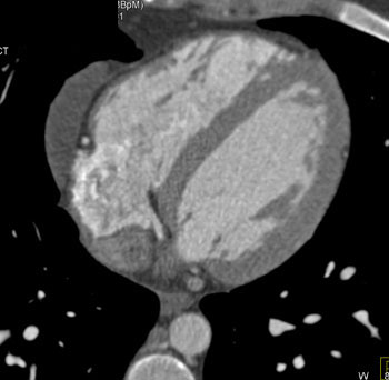
 | Diagnosis: Pulmonary Artery Sarcoma 
- Rare tumor which arises from the wall of the pulmonary artery
- May look identical (as in this case) to pulmonary embolism. Only hint may be a pulmonary embolism that does respond to appropriate therapy
- Can be in main pulmonary artery or in one of its branches
- Leiomyosarcomas are the most common cell type
Pulmonary Artery Sarcoma: CT Findings - Mass may enhance on remain isodense on the CTA of the pulmonary arteries
- Mass may show lobulations with septations
- May fill in entire vessel lumen which is uncommon with pulmonary embolism
- Can range in size from 1-20 cm
Over half of pulmonary artery sarcomas are misdiagnosed as chronic pulmonary thromboembolism based on their almost identical radiographic findings . Furthermore, the usual presenting symptoms of pulmonary artery sarcoma are dyspnea, chest pain, cough or hemoptysis, which also make the lesion clinically indistinguishable from pulmonary thromboembolism. With difficult clinical and radiographic diagnosis, the tumors are often incorrectly managed and ultimately diagnosed upon surgical treatment for presumed thromboembolic disease . References: - Mandelstamm M (1923) Ueber Primaeren Neubildungen des Herzen. Virchow Arch Path Anat 245: 43-54.
- Cox JE, Chiles C, Aquino SL et al (1997) Pulmonary artery sarcomas: a review of clinical and radiologic features. J Assis Comput Tomo 21:750-755.
- Kanjanauthai S, Kanluen T, Ray C (2007) Pulmonary artery sarcoma masquerading as saddle pulmonary emboli. Heart, Lung and Circulation 17: 417-436.
- Yi CA, Lee KS, Choe YH et al (2004) Computed tomography in pulmonary artery sarcoma: distinguishing features from pulmonary embolic disease. J Comput Assist Tomogr: 28:34-39.
- Kruger I ,Borowiski A, Horst M et al (1990) Symptoms, diagnosis, and therapy of primary sarcomas of the pulmonary artery. Thorac Cardiovasc Surg 38: 91-95.
- Mandel J, Mark EJ. (2000) Case records of the Massachusetts General pulmonary arterial obstruction. N Engl J Med 343: 493-500.
Here is a case that was a true saddle pulmonary embolism. Note some of the key differences between the two cases are that the tumor fills in the entire vessel with no wall seen. 
Saddle pulmonary embolism |