google ads

question

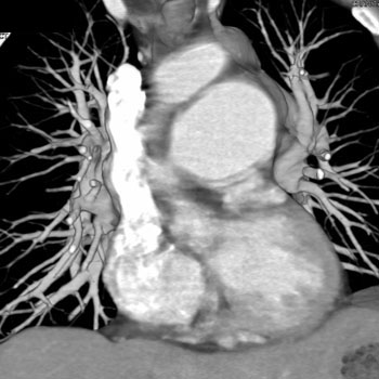
Question 12: 59 year old male with recent onset of chest pain as well as shortness of breath. The patient had a history of “some type of corrective cardiac surgery” as a child. What is the diagnosis?

answer

Diagnosis: Pulmonary Artery Aneurysm

Pulmonary Artery Aneurysms: Facts

  • Rare
  • May be congenital or required
  • Pulmonary hypertension is common
  • Complications are hemoptysis which can lead to rupture and may prove fatal

Differential Diagnosis

  • Idiopathic dilatation of the pulmonary artery
  • Pulmonary valve stenosis
  • Pulmonary artery hypertension

Mycotic Pseudoaneurysm of the Pulmonary Artery

  • Right sided endocarditis
  • Necrotizing pneumonia
  • Syphilis
  • Tuberculosis (Rasmussen pseudoaneurysm)

Pulmonary Artery Aneurysms: IVDA

cardiac 64 mdctcardiac 64 mdct

 

Pulmonary Arteriovenous Malformations: Facts

  • Congenital in origin
  • 60-90% of patients have hereditary hemorrhagic telangiectasia (aka Rendu-Osler-Weber syndrome)

Idiopathic Dilatation of the Pulmonary Artery

cardiac 64 mdctcardiac 64 mdct
cardiac 64 mdctcardiac 64 mdct
cardiac 64 mdctcardiac 64 mdct

 

Privacy Policy

Copyright © 2025 The Johns Hopkins University, The Johns Hopkins Hospital, and The Johns Hopkins Health System Corporation. All rights reserved.