google ads
Diagnostic Case Quiz ❯ Anatomical Region Quiz: Liver


Previous Case 72 of 163 Next

CTisus CT Scanning

Login / Register to save your answers and track your progress


Email Address:

Password:


Forgot your password?

Create a free account
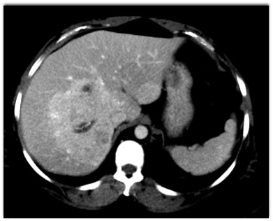
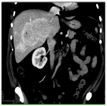
In this 30ish year old female with abdominal pain the most likely diagnosis is?

CTisus Quiz   CTisus Quiz
hemangioma
hepatoma
focal nodular hyperplasia
hepatic adenoma

Privacy Policy

Copyright © 2025 The Johns Hopkins University, The Johns Hopkins Hospital, and The Johns Hopkins Health System Corporation. All rights reserved.