google ads
Diagnostic Case Quiz ❯ Anatomical Region Quiz: Small Bowel


Previous Case 1 of 188 Next

CTisus CT Scanning

Login / Register to save your answers and track your progress


Email Address:

Password:


Forgot your password?

Create a free account
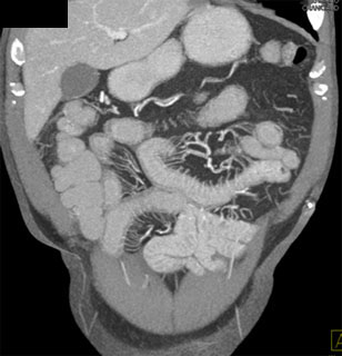
The most likely dx in this patient with right lower quadrant pain is?

CTisus Quiz   CTisus Quiz
small bowel lymphoma
metastatic melanoma
crohn's disease
radiation enteritis

Privacy Policy

Copyright © 2025 The Johns Hopkins University, The Johns Hopkins Hospital, and The Johns Hopkins Health System Corporation. All rights reserved.