google ads
Diagnostic Case Quiz ❯ Anatomical Region Quiz: Trauma


Previous Case 1 of 22 Next

CTisus CT Scanning

Login / Register to save your answers and track your progress


Email Address:

Password:


Forgot your password?

Create a free account
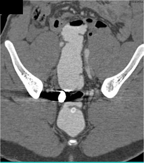
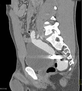
In this patient with a gunshot to the pelvis contrast was placed in rectum and demonstrated

CTisus Quiz   CTisus Quiz
rectal perforation
rectal hematoma
active rectal bleeding
normal rectum

Privacy Policy

Copyright © 2025 The Johns Hopkins University, The Johns Hopkins Hospital, and The Johns Hopkins Health System Corporation. All rights reserved.