google ads
Diagnostic Case Quiz ❯ Anatomical Region Quiz: Liver


Previous Case 73 of 163 Next

CTisus CT Scanning

Login / Register to save your answers and track your progress


Email Address:

Password:


Forgot your password?

Create a free account
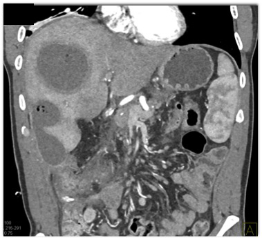
In this patient post Whipples procedure for pancreatic adenocarcinoma the best diagnosis is?

CTisus Quiz   CTisus Quiz
metastases to the liver
liver infarction
liver abscess
infected cyst

Privacy Policy

Copyright © 2025 The Johns Hopkins University, The Johns Hopkins Hospital, and The Johns Hopkins Health System Corporation. All rights reserved.