google ads
Diagnostic Case Quiz ❯ Anatomical Region Quiz: Liver


Previous Case 71 of 163 Next

CTisus CT Scanning

Login / Register to save your answers and track your progress


Email Address:

Password:


Forgot your password?

Create a free account
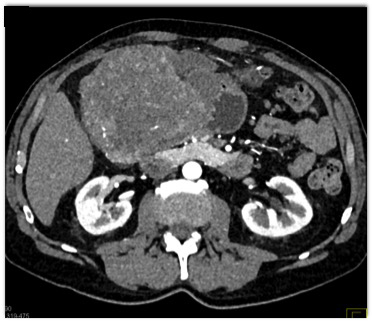
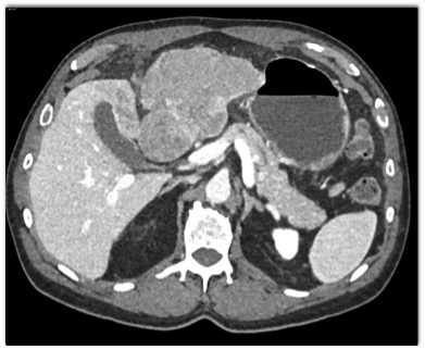
The best diagnosis in this patient with right upper quadrant pain is?

CTisus Quiz   CTisus Quiz
Gastric adenocarcinoma
GIST tumor of the stomach
Hepatoma
Cholangiocarcinoma

Privacy Policy

Copyright © 2025 The Johns Hopkins University, The Johns Hopkins Hospital, and The Johns Hopkins Health System Corporation. All rights reserved.