google ads
Diagnostic Case Quiz ❯ Anatomical Region Quiz: Musculoskeletal


Previous Case 45 of 99 Next

CTisus CT Scanning

Login / Register to save your answers and track your progress


Email Address:

Password:


Forgot your password?

Create a free account
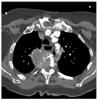
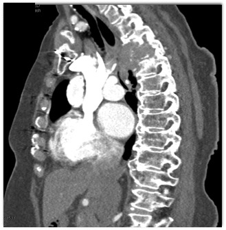
In this patient with back pain and shortness of breath the best dx is?

CTisus Quiz   CTisus Quiz
plasmacytoma
squammous cell carcinoma (SCC)
lymphoma
metastatic renal cell carcinoma

Privacy Policy

Copyright © 2025 The Johns Hopkins University, The Johns Hopkins Hospital, and The Johns Hopkins Health System Corporation. All rights reserved.