google ads
Diagnostic Case Quiz ❯ Anatomical Region Quiz: Musculoskeletal


Previous Case 44 of 99 Next

CTisus CT Scanning

Login / Register to save your answers and track your progress


Email Address:

Password:


Forgot your password?

Create a free account
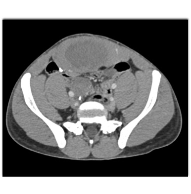
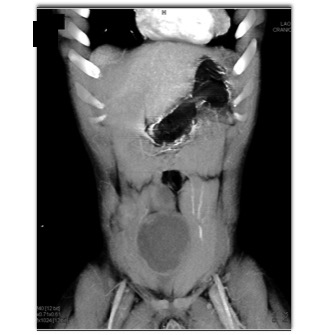
In this patient with a history Familial Polyposis (FAP) the best diagnosis is?

CTisus Quiz   CTisus Quiz
lymphoma
post op seroma
desmoid tumor
abdominal wall seroma

Privacy Policy

Copyright © 2025 The Johns Hopkins University, The Johns Hopkins Hospital, and The Johns Hopkins Health System Corporation. All rights reserved.