google ads
Diagnostic Case Quiz ❯ Anatomical Region Quiz: Musculoskeletal


Previous Case 41 of 99 Next

CTisus CT Scanning

Login / Register to save your answers and track your progress


Email Address:

Password:


Forgot your password?

Create a free account
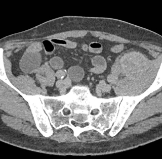
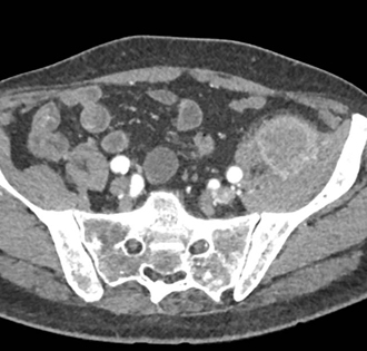
In this patient with left leg pain the best diagnosis is

CTisus Quiz   CTisus Quiz
abscess
hematoma
metastatic lesion to muscle
AV malformation

Privacy Policy

Copyright © 2025 The Johns Hopkins University, The Johns Hopkins Hospital, and The Johns Hopkins Health System Corporation. All rights reserved.