google ads
Diagnostic Case Quiz ❯ Anatomical Region Quiz: Musculoskeletal


Previous Case 40 of 99 Next

CTisus CT Scanning

Login / Register to save your answers and track your progress


Email Address:

Password:


Forgot your password?

Create a free account
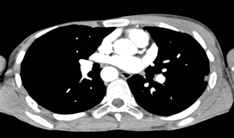
On this follow-up study for a vascular ring we also define

CTisus Quiz   CTisus Quiz
Polands syndrome
Loeys Dietz syndrome
Rasmussens Triad
Marfans syndrome

Privacy Policy

Copyright © 2025 The Johns Hopkins University, The Johns Hopkins Hospital, and The Johns Hopkins Health System Corporation. All rights reserved.