google ads
Diagnostic Case Quiz ❯ Anatomical Region Quiz: Liver


Previous Case 61 of 163 Next

CTisus CT Scanning

Login / Register to save your answers and track your progress


Email Address:

Password:


Forgot your password?

Create a free account
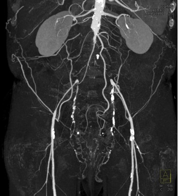
The most likely diagnosis in this case is?

CTisus Quiz   CTisus Quiz
acute occlusion of the aorta
sarcoma arising in the aorta
too early timing of CT Acquisition
Takayasu’s aortitis

Privacy Policy

Copyright © 2025 The Johns Hopkins University, The Johns Hopkins Hospital, and The Johns Hopkins Health System Corporation. All rights reserved.