google ads
Diagnostic Case Quiz ❯ Anatomical Region Quiz: Liver


Previous Case 60 of 163 Next

CTisus CT Scanning

Login / Register to save your answers and track your progress


Email Address:

Password:


Forgot your password?

Create a free account
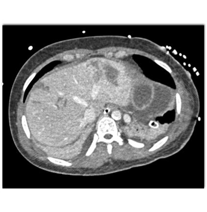
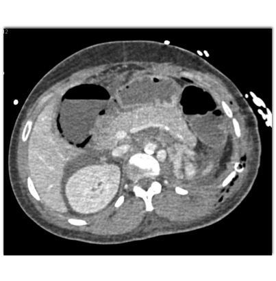
In this patient the most likely diagnosis for the new liver lesions is?

CTisus Quiz   CTisus Quiz
liver abscess
liver infarcts
metastases to the liver
focal fatty infiltration

Privacy Policy

Copyright © 2025 The Johns Hopkins University, The Johns Hopkins Hospital, and The Johns Hopkins Health System Corporation. All rights reserved.