google ads
Diagnostic Case Quiz ❯ Anatomical Region Quiz: Vascular


Previous Case 177 of 187 Next

CTisus CT Scanning

Login / Register to save your answers and track your progress


Email Address:

Password:


Forgot your password?

Create a free account
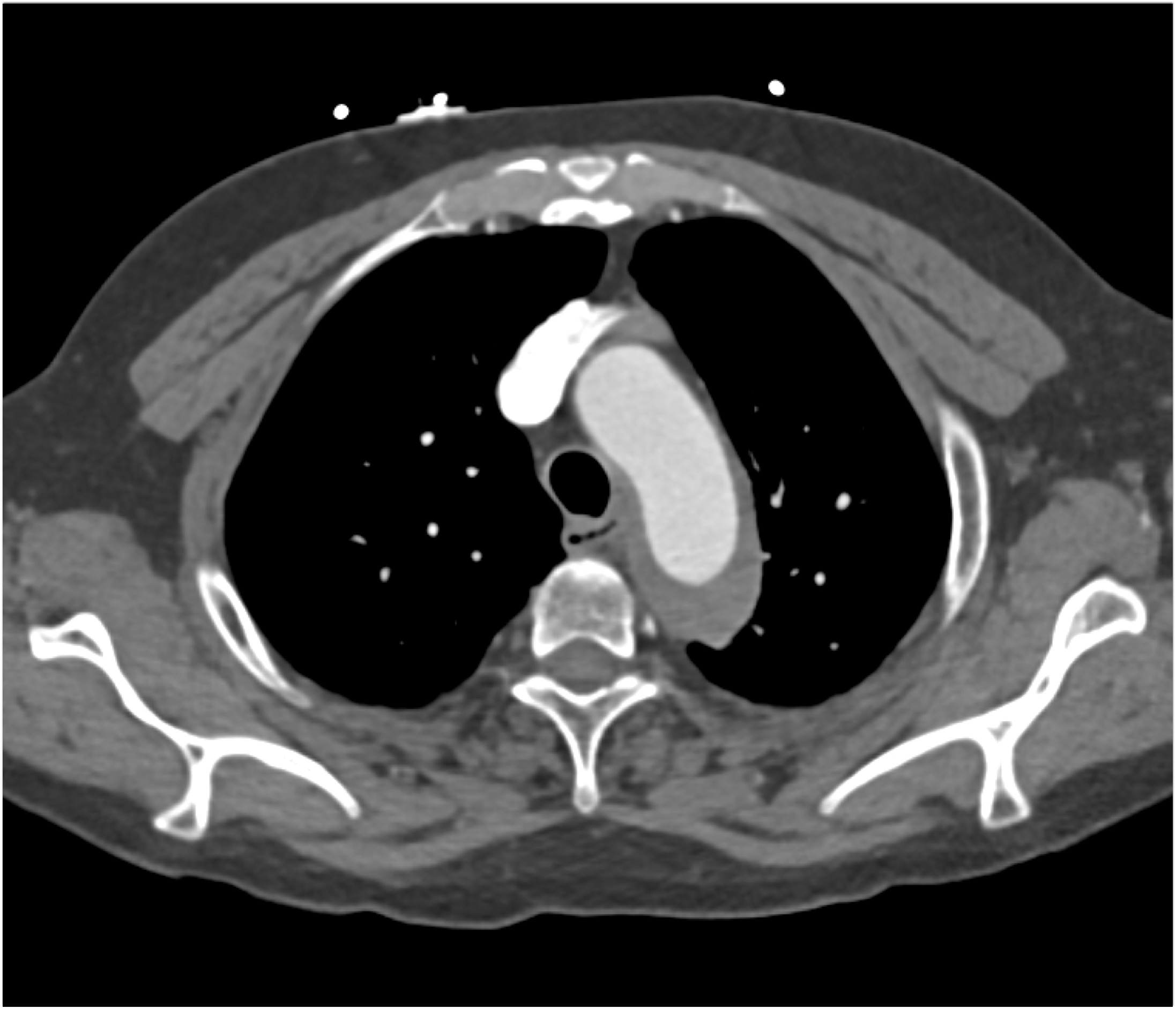
In this patient with acute back pain the best diagnosis is?

CTisus Quiz   CTisus Quiz
aortic dissection
intramural hematoma
atherosclerotic disease
vasculitis

Privacy Policy

Copyright © 2025 The Johns Hopkins University, The Johns Hopkins Hospital, and The Johns Hopkins Health System Corporation. All rights reserved.