google ads
Diagnostic Case Quiz ❯ Anatomical Region Quiz: Trauma


Previous Case 3 of 22 Next

CTisus CT Scanning

Login / Register to save your answers and track your progress


Email Address:

Password:


Forgot your password?

Create a free account
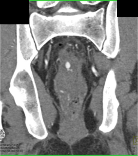
In this patient s/p GSW to the pelvis the best diagnosis is

CTisus Quiz   CTisus Quiz
active bleed in the rectum
foreign matter in pelvis
normal CTA with minimal bleed
spasm of vasculature

Privacy Policy

Copyright © 2025 The Johns Hopkins University, The Johns Hopkins Hospital, and The Johns Hopkins Health System Corporation. All rights reserved.