google ads
Diagnostic Case Quiz ❯ Anatomical Region Quiz: Stomach


Previous Case 109 of 112 Next

CTisus CT Scanning

Login / Register to save your answers and track your progress


Email Address:

Password:


Forgot your password?

Create a free account
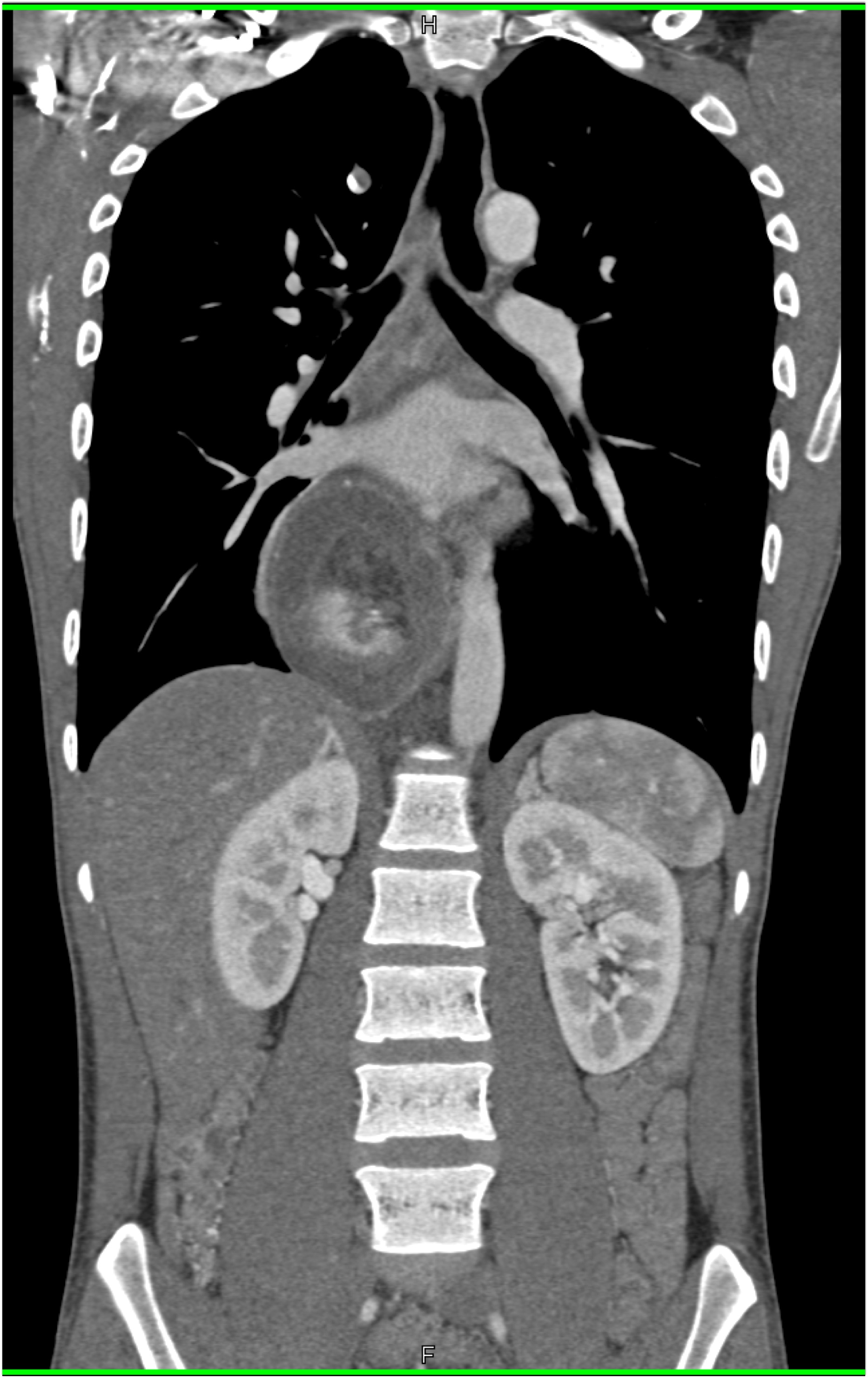
In this patient with suspected GI bleed the most likely diagnosis is?

CTisus Quiz   CTisus Quiz
hiatal hernia
esophagitis
esophageal cancer
achalasia

Privacy Policy

Copyright © 2025 The Johns Hopkins University, The Johns Hopkins Hospital, and The Johns Hopkins Health System Corporation. All rights reserved.