google ads
Diagnostic Case Quiz ❯ Anatomical Region Quiz: Small Bowel


Previous Case 6 of 188 Next

CTisus CT Scanning

Login / Register to save your answers and track your progress


Email Address:

Password:


Forgot your password?

Create a free account
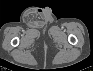
In this patient with symptoms of SBO the best dx is?

CTisus Quiz   CTisus Quiz
perforated bowel
malrotation
inguinal hernia with incarcerated small bowel
intussusception

Privacy Policy

Copyright © 2025 The Johns Hopkins University, The Johns Hopkins Hospital, and The Johns Hopkins Health System Corporation. All rights reserved.