google ads
Diagnostic Case Quiz ❯ Anatomical Region Quiz: Pancreas


Previous Case 258 of 258 Next

CTisus CT Scanning

Login / Register to save your answers and track your progress


Email Address:

Password:


Forgot your password?

Create a free account
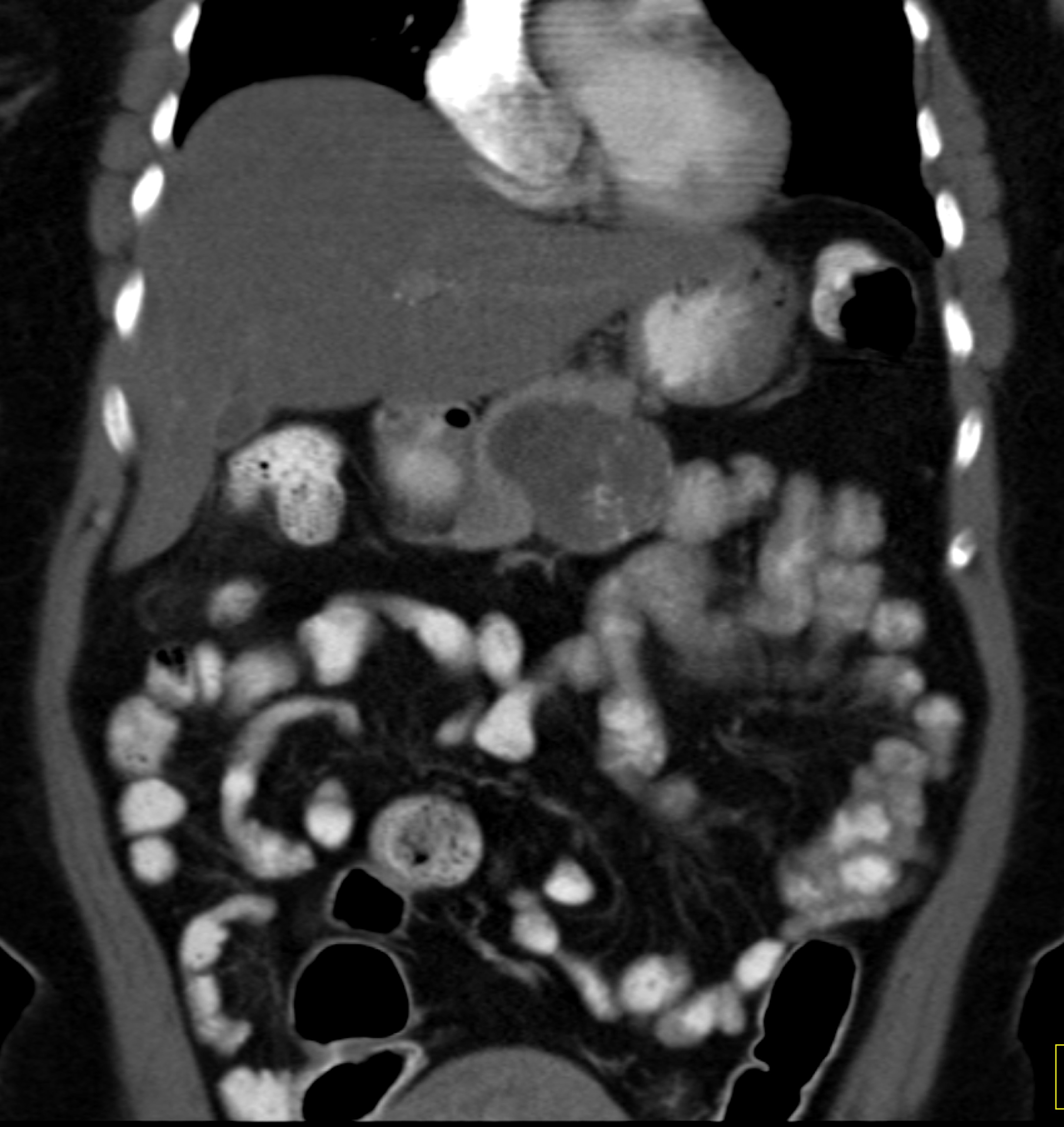
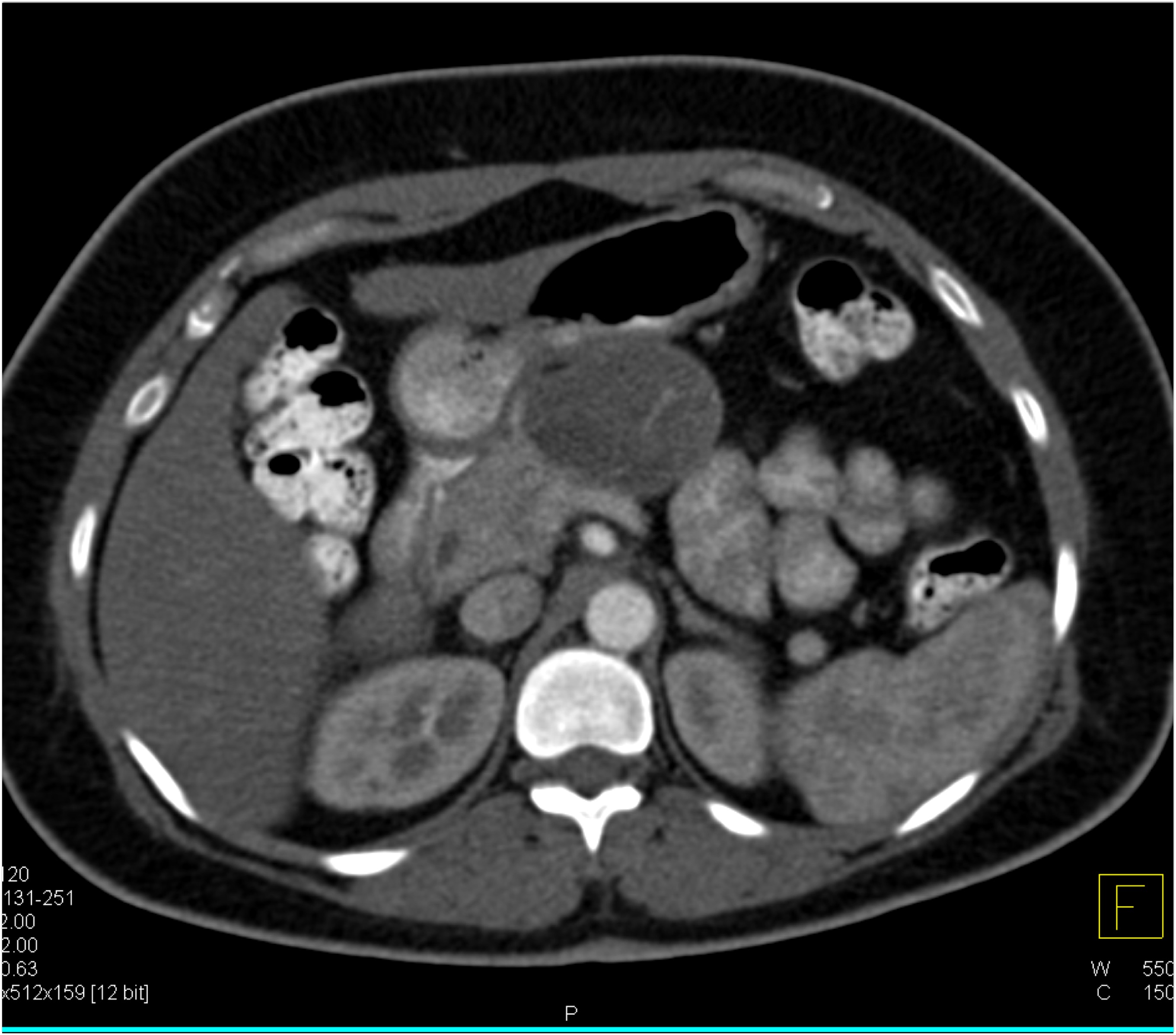
The most likely diagnosis in this 40ish year old female is

CTisus Quiz   CTisus Quiz
serous cystadenoma
mucinous cystic neoplasm (MCN)
IPMN
SPEN

Privacy Policy

Copyright © 2025 The Johns Hopkins University, The Johns Hopkins Hospital, and The Johns Hopkins Health System Corporation. All rights reserved.