google ads
Diagnostic Case Quiz ❯ Anatomical Region Quiz: Pancreas


Previous Case 218 of 258 Next

CTisus CT Scanning

Login / Register to save your answers and track your progress


Email Address:

Password:


Forgot your password?

Create a free account
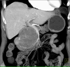
The best dx in this case in a 60 year old female is?

CTisus Quiz   CTisus Quiz
pseudocyst
serous cystadenoma
mucinous cystadenoma
SPEN tumor

Privacy Policy

Copyright © 2025 The Johns Hopkins University, The Johns Hopkins Hospital, and The Johns Hopkins Health System Corporation. All rights reserved.