google ads
Diagnostic Case Quiz ❯ Anatomical Region Quiz: Pancreas


Previous Case 209 of 257 Next

CTisus CT Scanning

Login / Register to save your answers and track your progress


Email Address:

Password:


Forgot your password?

Create a free account
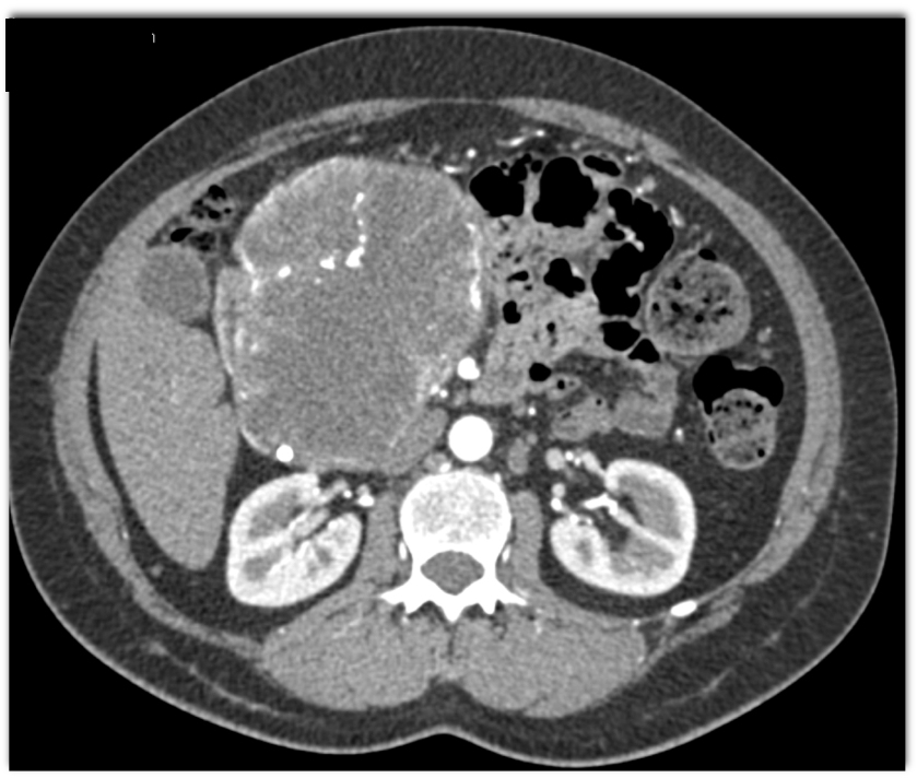
The most likely diagnosis in this 50ish year old woman is?

CTisus Quiz   CTisus Quiz
SPEN tumor
serous cystadenoma
neuroendocrine tumor
Mucinous Cystic Neoplasm (MCN)

Privacy Policy

Copyright © 2025 The Johns Hopkins University, The Johns Hopkins Hospital, and The Johns Hopkins Health System Corporation. All rights reserved.