google ads
Diagnostic Case Quiz ❯ Anatomical Region Quiz: Musculoskeletal


Previous Case 38 of 99 Next

CTisus CT Scanning

Login / Register to save your answers and track your progress


Email Address:

Password:


Forgot your password?

Create a free account
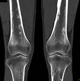
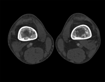
The best dx in this case is

CTisus Quiz   CTisus Quiz
lymphoma
fibrous dysplasia
sickle cell disease with bone infarcts
bone metastases

Privacy Policy

Copyright © 2025 The Johns Hopkins University, The Johns Hopkins Hospital, and The Johns Hopkins Health System Corporation. All rights reserved.