google ads
Diagnostic Case Quiz ❯ Anatomical Region Quiz: Musculoskeletal


Previous Case 35 of 99 Next

CTisus CT Scanning

Login / Register to save your answers and track your progress


Email Address:

Password:


Forgot your password?

Create a free account
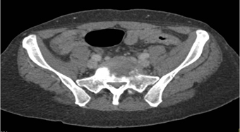
The best diagnosis in patient with left hip pain is?

CTisus Quiz   CTisus Quiz
sacral fracture
psoas bleed
osteomyelitis at L5-S1
metastases to L5 and S1

Privacy Policy

Copyright © 2025 The Johns Hopkins University, The Johns Hopkins Hospital, and The Johns Hopkins Health System Corporation. All rights reserved.