google ads
Diagnostic Case Quiz ❯ Anatomical Region Quiz: Liver


Previous Case 75 of 163 Next

CTisus CT Scanning

Login / Register to save your answers and track your progress


Email Address:

Password:


Forgot your password?

Create a free account
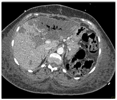
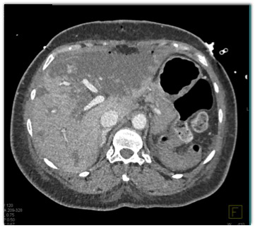
In this patient post recent Whipples procedure the best diagnosis is?

CTisus Quiz   CTisus Quiz
liver abscess
liver infarction
fatty infiltration of the liver
tumor recurrence in the liver

Privacy Policy

Copyright © 2025 The Johns Hopkins University, The Johns Hopkins Hospital, and The Johns Hopkins Health System Corporation. All rights reserved.