google ads
Diagnostic Case Quiz ❯ Anatomical Region Quiz: Liver


Previous Case 63 of 163 Next

CTisus CT Scanning

Login / Register to save your answers and track your progress


Email Address:

Password:


Forgot your password?

Create a free account
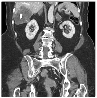
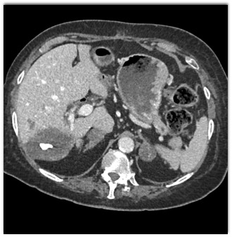
The best diagnosis in this patient with no known malignancy is?

CTisus Quiz   CTisus Quiz
hepatoma
metastatic colon cancer
sclerosed hemangioma
metastatic carcinoid tumor to the liver

Privacy Policy

Copyright © 2025 The Johns Hopkins University, The Johns Hopkins Hospital, and The Johns Hopkins Health System Corporation. All rights reserved.