google ads
Diagnostic Case Quiz ❯ Anatomical Region Quiz: Liver


Previous Case 115 of 163 Next

CTisus CT Scanning

Login / Register to save your answers and track your progress


Email Address:

Password:


Forgot your password?

Create a free account
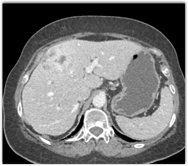
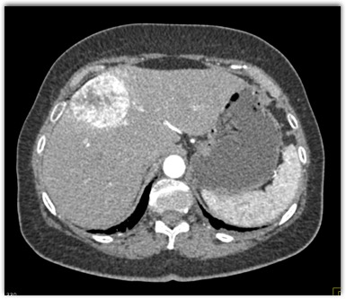
The most likely diagnosis in this case is

CTisus Quiz   CTisus Quiz
FNH
hepatic adenoma
hemangioma
hepatoma

Privacy Policy

Copyright © 2025 The Johns Hopkins University, The Johns Hopkins Hospital, and The Johns Hopkins Health System Corporation. All rights reserved.