google ads
Diagnostic Case Quiz ❯ Anatomical Region Quiz: Genitourinary


Previous Case 17 of 83 Next

CTisus CT Scanning

Login / Register to save your answers and track your progress


Email Address:

Password:


Forgot your password?

Create a free account
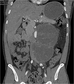
In this 42 year old male the best diagnosis is?

CTisus Quiz   CTisus Quiz
lymphoma pre-treatment
lymphoma post treatment
liposarcoma
germ cell tumor

Privacy Policy

Copyright © 2025 The Johns Hopkins University, The Johns Hopkins Hospital, and The Johns Hopkins Health System Corporation. All rights reserved.