google ads
Diagnostic Case Quiz ❯ Anatomical Region Quiz: Colon


Previous Case 80 of 86 Next

CTisus CT Scanning

Login / Register to save your answers and track your progress


Email Address:

Password:


Forgot your password?

Create a free account
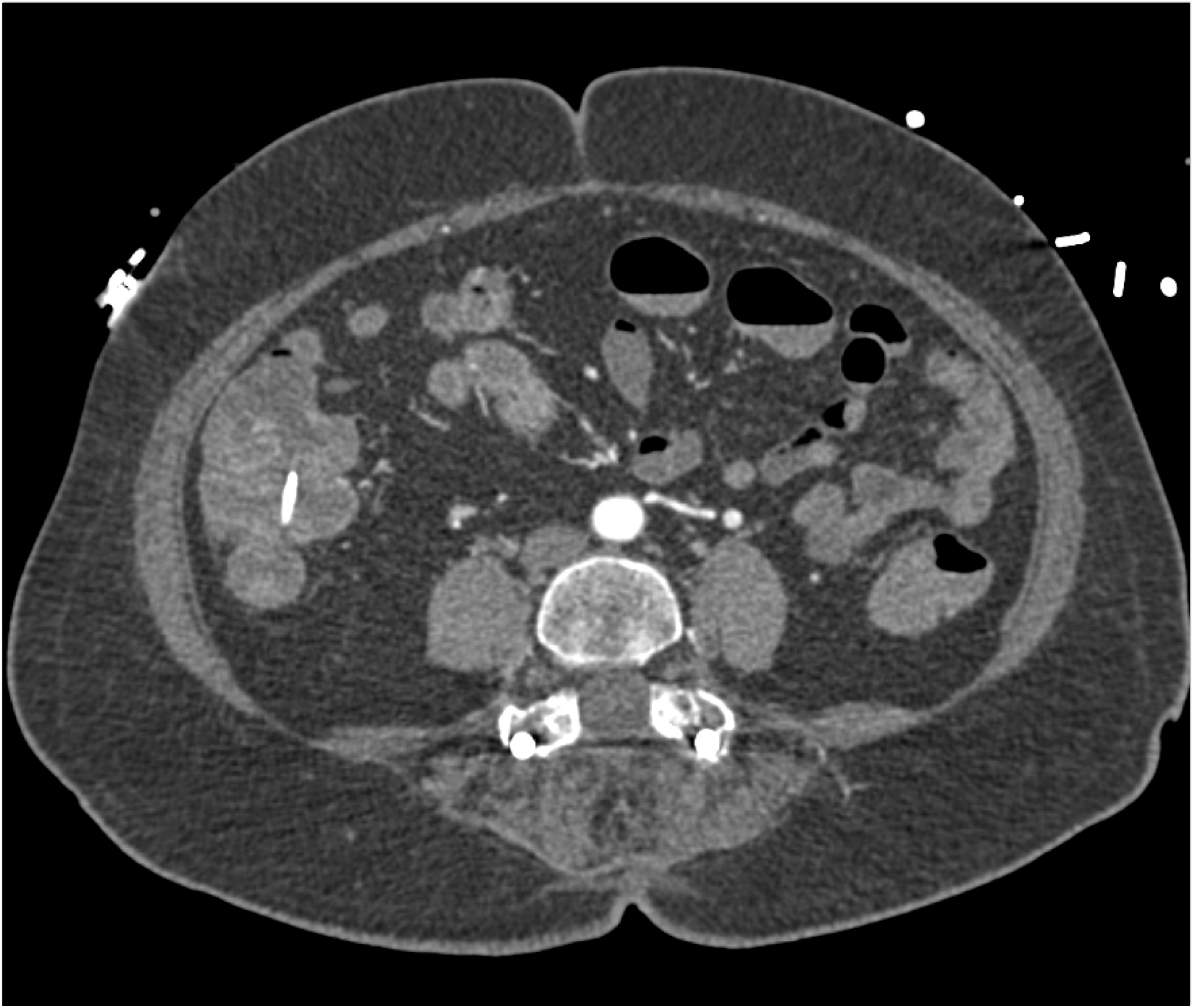
In this patient with abdominal pain post colonoscopy the key finding is?

CTisus Quiz   CTisus Quiz
pneumoperitoneum
splenic trauma
bleed in cecum following polyp removal
retroperitoneal bleed

Privacy Policy

Copyright © 2025 The Johns Hopkins University, The Johns Hopkins Hospital, and The Johns Hopkins Health System Corporation. All rights reserved.