google ads
Diagnostic Case Quiz ❯ Anatomical Region Quiz: Colon


Previous Case 27 of 88 Next

CTisus CT Scanning

Login / Register to save your answers and track your progress


Email Address:

Password:


Forgot your password?

Create a free account
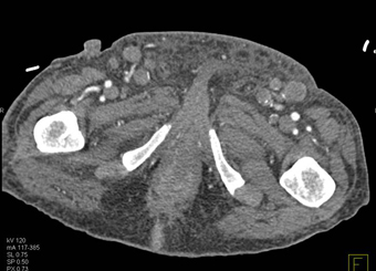
In this patient with known colon cancer the soft tissue masses are most likely

CTisus Quiz   CTisus Quiz
melanoma
squamous cell carcinoma
skin tags
metastatic colon cancer to the subcutaneous tissue

Privacy Policy

Copyright © 2025 The Johns Hopkins University, The Johns Hopkins Hospital, and The Johns Hopkins Health System Corporation. All rights reserved.